안녕하세요. 울산 포항 경주 부산 지역 대형견 정형외과 특화 라지독 클리닉을 운영중인 울산 에스동물메디컬센터 입니다. 오늘의 주제는 대형견의 고관절 질환 조기진단 검사법인 펜힙검사(PennHIP)와 고위험군 환자들을 위한 예방수술인 JPS입니다. 펜힙검사(PennHIP)와 JPS수술의 원리와 방법 세세하게 알아보겠습니다.
🐶 환자 정보🐶
나이 : 4개월
견종 : 보더콜리
증상 : 증상은 전혀 없어요. 조기검진 받고 싶어요

오늘의 치료일기 주인공 루키는 평소 보더콜리가 고관질환 발병률이 높다는 점을 잘 인지하고 계신 보호자님이 입양 후 검진을 위해 울산에스동물메디컬센터에 내원하였습니다.
고관절이란?

골반의 고랑안에 허벅지뼈의 골두가 접해있는 관절로 뒷다리를 회전시킬 때 도와주는 역할을 합니다
고관절 질환이란?
고관절이 정상모양으로 자라지 못한 고관절 이형성, 탈구, 퇴행성 관절염, 골두괴사증, 골두 골절 등으로 보행시 통증과 파행을 유발하는 질환을 총칭합니다.

1. 고관절 이형성 / 2. 무혈성 골두괴사증 / 3. 퇴행성 관절염 / 4. 고관절 탈구 / 5. 골두 골절 / 출처: 에스동물메디컬센터
고관절 질환의 원인 및 증상

고관절 질환을 갖는 대표 견종들
고관절 질환 원인
➰고관절 질환의 원인은 유전적, 선천적 요인이 가장 큽니다.
✔ 외상이나 강한 운동
✔ 어릴 때 과도한 칼로리 급여
✔스테로이드 장기복용도 고관절 질환을 유발
🔍 저먼 셰퍼드, 리트리버, 불독, 보더콜리 종에서 다발한다고 보고되어 있습니다.
고관절 질환 증상
✅ 고관절 질환시 골두와 골반이 부딪히며 통증이 발생해, 보행시 뒷다리를 절뚝거리거나 증상이 더 심한 한쪽 다리를 들고 보행합니다
✅ 엉덩이를 좌우로 과도하게 흔들면서 보행, 토끼처럼 양측 후지를 동시에 들면서 뛰기도 합니다
🔽🔽🔽🔽
선천적인 원인으로 발생 했을 경우 1살 이전에 첫 증상을 보이다가 점점 증상이 소실되어 완치된것으로 생각하시는 경우가 많습니다. 하지만 3살이 넘어서며 퇴행성 관절염이 진행되어, 첫 증상보다 더 심각한 통증 및 파행증상을 보입니다.
성장이 끝난 후 고관절 질환의 증상이 보인다면 수술없이 절대 정상으로 회복되지 않고 대퇴사두근 위축 및 허벅지뼈 석회화 등의 더 큰 문제를 유발합니다.
펜힙(Penn HIP)검사란?

펜힙검사(Penn HIP)는 기존 방사선 촬영으로는 어린아이에서 고관절 질환의 조기 진단이 불가능한 점을 보완하기 위해 개발된 방사선 촬영법입니다. 주관사인 AIS에서 강의를 듣고 테스트에 통과한 수의사에게 인증서가 발급됩니다.

펜힙검사(Penn HIP)의 원리와 실제 촬영 모습
간단한 진정 혹은 마취를 진행한 후 펜힙 기구를 사타구니에 놓은 후 양측 다리를 안쪽으로 누릅니다. 이 상태에서 방사선 촬영을 진행하고 고관절 질환의 위험도를 평가합니다.

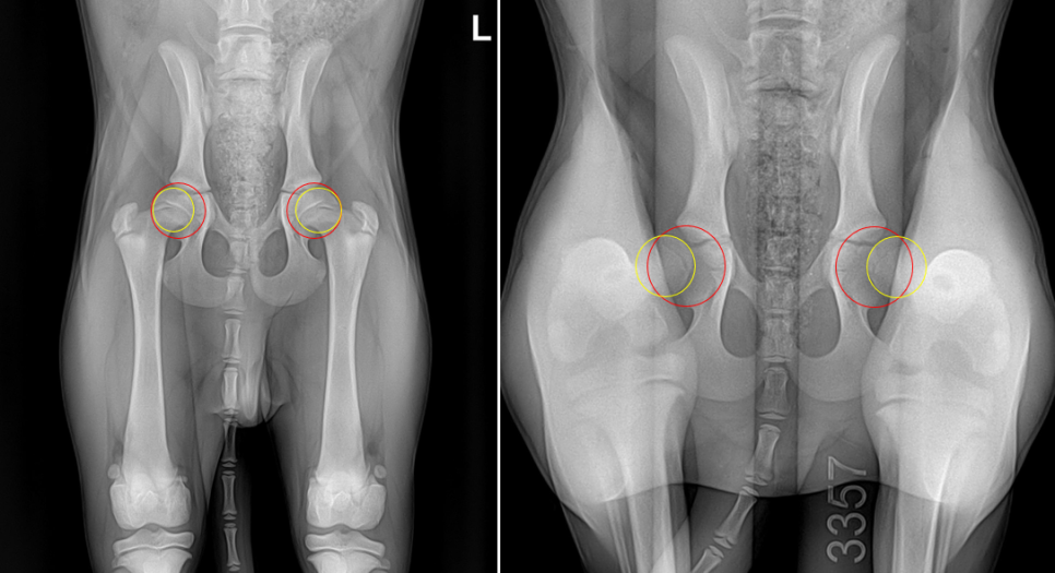
일반적인 Hip extension 촬영법 펜힙(Penn HIP) 촬영법
위 사진은 4개월령 루키의 같은날 촬영한 방사선 영상입니다.
골두가 들어가는 골반의 관골구에 빨간색의 가상의 원을 그리고 허벅지뼈의 골두에 가상의 원을 그린 후 노란색원이 빨간색원에서얼마나 빠져있는지 평가를 합니다. 같은 아이의 방사선 영상인데도 두 영상의 차이가 극명하게 드러납니다.
펜힙(Penn HIP)검사를 진행하지 않았다면 루키는 고관절 고위험군인지 인지하지 못하고 치료시기를 놓쳐 성견이 된 후 양측 고관절의 퇴행성 관절염이 발생했을 가능성이 매우 높습니다.

펜힙(Penn HIP)검사법에 의한 위험도 단계
촬영 후에는 허벅지뼈의 골두가 골반에서 밀려나는 정도를 점수로 평가합니다.
✔ 30%가 밀려나면 0.3, ✔ 60%가 밀려나면 0.6으로 표기하며 이를 DI (Distraction Index)라 합니다. DI는 0에서 0.0에서 1.0까지 측정 가능하며 수치가 낮을수록 선천적인 위험도가 낮아집니다. 평균적으로 0.3이하를 정상, 0.3~0.5사이를 경미한 위험군, 0.5~0.7사이를 중등도의 위험군, 0.7이상을 고위험군으로 분류합니다.
루키는 우측 0.61 좌측 0.62로 진단되어 중등도의 위험군으로 분류되어 추후 고관절 퇴행성 관절염 예방을 위한 JPS수술과 함께 중성화도 같이 진행하기로 결정하였습니다.
JPS 수술이란?

JPS 수술의 원리
JPS는 성장이 끝난 후 퇴행성관절염을 막기위한 예방수술입니다. 골반의 치골부위 성장판을 절반정도 손상시켜 성장을 억제시키는데 이때 꼬리뼈인 천추골과 골반의 장골은 정상적인 성장을 하며 골반의 관골구가 허벅지뼈의 골두를 감싸 고관절이 탈구되는것을 막아주는 원리입니다.

JPS 수술 1년, 2년 후 결과에 대한 논문
JPS 관련 논문에서 JPS를 받은 아이들은 수술 전 DI수치가 0.63에서 2년 후 정상에 가까운 0.37까지 회복된 결과가 확인되었습니다. 물론 JPS 수술을 받은 모든 환자가 위 논문처럼 좋은 결과를 얻지는 못합니다. 일반적으로 DI 수치 0.7이하의 아이들에서 높은 확률로 좋은 결과를 얻을수 있습니다.
환자 실제 수술사례
1.마취
🐕 루키는 마취 전 혈액검사, 흉부방사선, 심전도 모두 정상으로 확인되었습니다. 이후 마취,통증 전공 수의사의 감독하에 마취를 진행하였습니다. 본원에서의 마취는 최고 사양의 GE사 호흡 마취기를 사용하며 울산 유일 마취, 통증을 전공한 최건호 수의사가 마취를 감독해 마취 중 발생할수 있는 마취사고를 최소화합니다.

2. 수술
수술은 200건 이상의 펜힙(Penn HIP)검사 경험을 갖춘외과팀 의료진들과 정희준 원장이 함께하였습니다.

루키의 실제 수술 전 후 사진
골반의 치골을 노출시킨 후 전기 소락기를 이용하여 성장판의 절반정도를 손상시킵니다. 위 사진 오른쪽에서 보이는 4개의 구멍이 손상시킨 성장판 부위입니다. 수술은 1시간만에 종료되었습니다.

루키의 실제 마취기록 서식지
마취중 마취 통증 전공 수의사가 기입한 마취기록지 입니다. 수술 중 지속적인 바이탈체크로 마취사고를 최소화합니다
수술의 가장 기본이면서 핵심은 멸균입니다

본원은 마취삽관튜브부터 수술복 수술포 등 모두 1회용 제품을 사용하고 있으며 재사용 재멸균을 하지 않습니다. 모든 수술은 피부상재균의 술부 감염을 막기위해 포비돈 소독액이 도포된 필름을 덮은후 진행이 됩니다. 모든 멸균과정은 보건복지부에서 정한 사람 병원의 멸균기준을 충족합니다.
3. 수술 결과 및 입원관리

수술 전 루키의 방사선 영상 JPS 수술 1년 후 루키의 방사선 영상
수술 1년 후 방사선을 수술 전과 비교해 보았습니다. 루키는 1년간 보행에 아무 문제가 없었고 방사선 영상에서도 수술전에 비해 골두가 관골구내로 타이트하게 들어가 있고 퇴행성 변화가 없는 모습이 확인되었습니다. 산책도 열심히 했는지 양측 허벅지 근육도 훌륭하게 증량되었습니다.
JPS 수술은 수술 직후 보행이 가능하며 부작용도 없는 수술이라 당일 퇴원 가능합니다.
🐕 루키는 매년 1회 방사선 촬영을 통해 지속적인 재진 모니터링 예정입니다
5.수술 후
JPS수술을 받은 아이는 퇴원 후 움직임에 제한은 없습니다. 다만 미끄러운 바닥에서의 격렬한 운동은 제한해주시는 것이 좋습니다. 댁에서 할수 있는 홈 재활도 적극 권장하고 있습니다. 아래 홈재활 영상을 참고하세요.
이상 강아지 펜힙검사(PennHIP), JPS수술 전문 24시 울산 에스동물메디컬센터였습니다.







