산책이 기쁨인 아이들이
마음껏 다릴 수 있도록
안녕하세요 강아지 고관절 수술 전문 울산 S동물메디컬센터입니다.
본원은 BioMedtrix & BlueSAO & Vetmaster 3社 인공관절(THR) 교육을 모두 이수한 의료진의 진료/치료가 가능하며, 국내 로컬병원 중 인공관절(THR) 최다 임상케이스를 보유하고 있는데요.
이번 글에서는 울산 에스동물메디컬센터에서 대퇴골두무혈성괴사(LCPD) 강아지 환자를 위해 강아지 THR 인공관절 수술을 진행한 실제 사례를 바탕으로 고관절 질환의 종류, 증상, 원인, 수술 방법에 대해 알아보도록 하겠습니다.

강아지도 고관절 질환이 있나요?
강아지의 고관절은 골반의 고랑안에 허벅지 뼈의 골두가 접해있는 관절로 뒷다리를 회전시킬 때 도와주는 역할을 합니다. 고관절 운동에 어려움이 발생하는 경우가 있습니다. 이러한 경우 고관절 질환이라고 부릅니다.


강아지 고관절 해부학적 구조 & 고관절이형성증 출처: VETOPIA (좌), PDSA(우)
1. 강아지 고관절 질환의 종류
고관절 질환 종류는 아래와 같습니다.
- 고관절이 정상모양으로 자라지 못하는 고관절 이형성증
- 고관절이 빠지는 고관절 탈구
- 나이가 많아짐에 따른 퇴행성 관절염
- 고관절 부분 혈류장애로 인한 골두 괴사증
- 골두골 골절

1.고관절 이형성 2.무혈성 골두괴사증 3.퇴행성 관절염 4.고관절 탈구 5.골두 골절
2. 강아지 고관절 질환 증상과 원인 (대형견 소형견 비교)
- 원인: 대형견의 경우 유전적 요인이 강하지만 소형견의 경우 퇴행성 혹은 혈류 장애과 같은 다른 요인에 의해 발생하는 경우가 많음
- 호발 질환: 대형견의 경우 유전으로 인한 고관절 이형성증 케이스가 많은 반면에, 소형견은 퇴행성 관절염, 대퇴골두무혈성괴사와 같은 케이스가 흔한 편
고관절 질환 주요 증상은 아래와 같습니다.
📌 강아지 고관절 질환 대표 증상
- 통증과 파행 유발
- 뒷다리 절뚝
- 한쪽다리 들고 보행
- 엉덩이를 좌우로 과도하게 흔들며 보행
- 토끼뜀
⚠️ 대형견 처럼 선천적인 원인으로 고관절 질환이 발생하는 경우 1살 이전에 첫 증상을 보이다가 증상이 사라지면 괜찮아 졌다고 생각하시는 경우도 많습니다.
하지만 이후 퇴행성 관절염으로 진행되어 더 심각해질 수 있기에 대형견이라면 더욱 더 병원에 내원하시어 진료를 받으시는 것 좋습니다.
강아지 고관절 수술 방법
강아지 고관절 수술 방법에는 크게 골두절제술(FHNO)와 인공관절치환술(THR) 2가지 방법이 있습니다.
1. 골두절제술(FHNO)
통증의 주 원인이 되는 허벅지뼈의 골두를 절제하는 수술법으로, 관절부위가 없어져 대퇴사두근의 힘으로 보행을 유도합니다.
15KG 이하의 소형견의 고관절 수술에서 보통 적용
2. 인공관절(THR)
허벅지뼈의 골두 및 골반부위를 티타늄 임플란트로 교체하는 수술법으로 수술 후 완벽한 정상보행이 가능합니다.
체중이 많이 나가는 대형견에게서는 THR 수술을 권장
하지만 최근 비시멘트형 THR 시스템이 개발되어 소형견에서도 적용이 가능하게 되었습니다.
| | FHNO(골두절제술) | THR(인공관절치환술) |
| 역사 | 1965 | 1990 |
| 치료 방식 | 뼈를 잘라내어 관절에 지방을 채워 회복 | 손상된 고관절은 인공관절로 완전히 교체 |
| 예후 | 매우조음 37% 좋음 26% 나쁨 36% | 매우좋음 95% |
| 합병증 | 파행, 통증, 대퇴근위축, 골절, 후지단축, ROM저하, MPL | 탈구, 골절, 감염, MPL, 후지외전 |
| 장점 | 저렴한 수술비, 간단한 수술법 | 정상보행 가능, 수술실패 후 옵션 존재 |
| 단점 | 술전 예후 예상 어려움, 장기간 재활 필요 | 비싼 수술비, 장기간의 수련필요,관골구 손상시 수술 불가 |
에스동물메디컬센터는 국내 최초 소형견 비시멘트 이중관절 수술을 성공하였습니다.
▶️ 울산 에스 소형견 인공관절 케이스 확인하기
국내 최초 소형견 비시멘트 인공관절 케이스 성공 케이스 / Vetmaster 社의 사례 소개
국내 최초 소형견 비시멘트 인공 고관절 치환(THR) 수술 성공

대퇴골두무혈성괴사 수술 실제 사례
1. 강아지 LCPD 진단 (소형견 대퇴골두 무혈성 괴사)
이번 강아지 환자는 소형견 어린 환자로, 왼쪽 뒷다리를 잘 딛지 못하고 근육이 많이 빠져 울산 에스동물메디컬센터로 내원하게 되었습니다.
🐶 환자 정보🐶
나이 : 1세
성별 : 암컷
품종 : 믹스
증상 : 왼쪽 뒷다리를 잘 딛지 못하고
근육이 많이 빠졌어요


울산 에스 강아지 인공관절 환자 출처: 에스동물메디컬센터
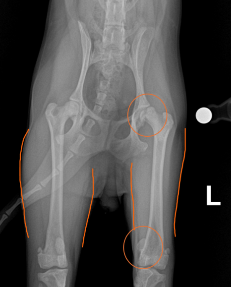
1. 상담 후 X-RAY 촬영
위 강아지 환자는 X-RAY 사진 상, 왼쪽 고관절의 골두가 녹아내려 쪼개진 모습이 확인되었습니다. 명확하지 않은 이유로 골두의 영양분을 공급하는 혈관이 괴사되는 골두무혈성괴사증(LCPD)의 전형적인 모습입니다. 또한 슬개골 탈구가 같이 확인되었으며, 위 고관절 문제로 인하여 왼쪽 뒷다리에 체중지지를 하지 못해 오른쪽에 비해 대퇴사두근의 위축이 확인되었습니다.
2. 보행평가
수술 전 보행영상 출처: 에스동물메디컬센터
수술전 보행영상을 살펴보면 왼쪽 뒷다리를 잘 딛지 못하고 껑충껑충 뛰는 모습이 확인됩니다.
2. 강아지 LCPD 수술
고관절 LCPD 수술 전 안전한 마취를 위하여 혈액검사, 흉부방사선, 심전도 모두 검사를 진행하였습니다.
본 강아지 환자의 수술은 인공관절(THR) 수료를 마친 정희준 원장님이 직접 진행하였습니다. 또한 해당 강아지 환자는 나이가 어리고, 고난이도 수술이었지만 마취·통증의학과 수의사의 감독 아래 안전하게 수술을 마무리하였습니다.

괴사되어 망가진 골두 ㅣ 인공관절 임플란트 장착 후 ㅣ 절제한 골두 (괴사되어 울퉁불퉁하게 변함) 출처: 에스동물메디컬센터
3. 강아지 LCPD 수술 결과 및 입원관리
1. 수술결과
수술 후 인공관절 임플란트가 정상적으로 장착 된 모습이 확인되었으며, THR 수술과 함게 교정한 슬개골 역시 정상위치로 환납되었음이 확인되었습니다. 대부분 인공관절은 수술 다음날부터 보행이 가능합니다.

강아지 소형견 인공관절 및 슬개골탈구 수술 후 엑스레이 사진 출처: 에스동물메디컬센터
2. 입원관리 및 입원 중 재활
- 인공관절 수술은 감염에 취약하여 매일 술부 소독 및 멸균필름 장착을 일주일 동안 진행합니다. (퇴원시까지 주치의가 시행)
- 안심입원: 보호자님이 걱정을 덜어드릴 수 있도록 입원 기간 중 1일 1회 매일 아이의 상태와 사진을 전달 드립니다.
- 재활치료: 1일 1회 수중러닝 머신, 체외충격파, 레이져 등의 재활치료를 진행합니다. (울산 에스동물병원에서는 사람 작업치료사 면허증을 취득한 재활실장이 직접 재활을 진행합니다)

안십심원 카톡 ㅣ 입원 중 재활 ㅣ 재활 김태훈 실장님 출처: 에스동물메디컬센터
소형견 인공관절 수술 후 보행영상 출처: 에스동물메디컬센터
인공관절(THR) 수술 시 고려사항
강아지 인공관절 수술은 고난이도 수술에 해당합니다. 고관절 질환으로 인하여 인공관절 수술을 고민하신다면 아래의 사항을 고려해주시는 것이 좋습니다.
✔️ THR 수료 및 인증 의료진이 있는지
✔️ THR 수술 경험이 풍부한지
✔️ 전문 외과 의료팀이 구성되어 있는지
✔️ 마취통증의학과 전공 수의사가 있는지 (안전한 수술, 통증감소, 빠른 회복에 도움)
✔️ 멸균이 확실한 수술환경이 갖춰져 있는지
고난이도 수술인 만큼 전문성, 시설(환경) 모두 예후에 중요한 요인으로 작용할 수 있습니다.
▪ 울산 에스동물병원 외과 정희준 원장
– BioMedtrix, BlueSAO, VETMASTER 인공관절 수술 수료

출처: 에스동물메디컬센터
▪ 울산 에스동물병 마취통증의학과 최건호 과장
– 안전한 마취, 통증 감소 및 회복을 도와주는 신경차단술 & 마약성 진통제

출처: 에스동물메디컬센터

울산 에스동물병원 정희준 원장 & 최건호 과장
FAQ로 알아보는 강아지 고관절 수술
Q1. 골두절제술과 인공관절(THR) 수술 어떤 기준으로 결정하나요?
👉 아이들의 체중, 뼈 모양, 활동량, 예후 등을 살펴보고 종합적으로 결정합니다.
Q2. THR 수술 후 언제 회복 되나요? 활동 제한 기간은 얼마나 되나요?
👉 평균 12주 정도면 대부분의 아이들이 통증 없이 걷거나 달립니다. 하지만 아이들마다 신체 조건이 달라 평균 회복기간과는 다를 수 있습니다. 또한 약 8주~12주 동안 과격한 행동 혹은 무리한 운동은 제한됩니다.
이상 울산 포항 경주 부산 외과 전공 수의사와 마취통증의학 전공 수의사와 함께 신경정형외과 & 일반외과 전문 진료가 가능한 S동물메디컬센터 울산점이었습니다.
경험이 많은 의료진, 전문화된 의료 시스템을 통해 아이에게는 최선의 치료를, 보호자분에게는 신뢰와 믿음을 드리고자 언제나 노력하는 에스동물메디컬센터가 되도록 하겠습니다.







