안녕하세요. 울산 양산 부산 경상 지역 강아지 고양이 종양 수술과 방사선 전문 치료가 가능한 에스동물메디컬센터 · 에스동물암센터 입니다.
강아지 간종양은 증상이 모호하거나 전혀 없는 상태로 진행되는 경우가 많아, 보호자가 예상하지 못한 순간에 발견되기도 합니다.이번 글에서는 보호자가 다른 질환을 의심하며 내원하였지만 CT 검사 진단 후 ‘간종양’으로 진단되어 수술 및 항암관리까지 이어진 사례를 알려드리겠습니다.

강아지 간암 수술 과정을 이해하기 쉽게 설명드리기 위해 실제 수술 사진 일부가 포함되어 있습니다. 의료적·안내 목적이며, 자극적인 내용은 최소화했습니다.
강아지 간암, 왜 발견이 늦어질 수 있나요?
강아지 간암은 사람과 마찬가지로 뒤늦게 발견되는 경우가 많습니다. 가장 큰 이유는 초기의 증상이 식욕 감소, 체중 감소, 무기력 등 비특이적이기 때문입니다. 따라서 이상이 있어 혈액검사를 진행하더라도, 혈액검사로는 간세포 손상·간질환 등을 유추할 뿐 종양을 진단하기는 어렵습니다.
이에 따라 ACVIM(미국수의내과학회)에서도 8~10세 이상의 중·노령견에의 경우 혈액검사에서 이상이 발견되면 복부초음파(필요시 CT) 검사를 권장합니다.

강아지 간종양 절제 수술 사례
🐶 환자정보 🐶
나이: 9살
품종: 웰시코기
증상: 안아들 때 보이는 통증 반응, 약간의 통증 증상
9살 웰시코기 환자는 안아 들 때 보이는 통증 반응과 약간의 혈뇨 증상으로 병원에 내원했습니다. 보호자분께서는 디스크나 방광염 가능성을 염두에 두고 검사를 원하시는 상황이었습니다. 식욕과 활력은 모두 정상 범위였고, 겉으로 보기에는 큰 이상이 없어 보였습니다.
하지만 중·고령 반려견의 경우, 겉으로 드러나지 않는 문제가 있을 수 있어 혈액검사와 복부 초음파 검사를 함께 진행했습니다. 그 결과, 예상과는 다른 소견이 확인되었습니다.
01 초기 검사에서 확인된 이상 소견
혈액검사에서는 간 수치 상승이 관찰되었습니다. 이 수치만으로 종양을 단정할 수는 없지만, 간에 부담이 가해지고 있다는 신호로 해석할 수 있습니다. 이어 진행한 복부 초음파 검사에서 우측 상복부, 간에서 유래된 것으로 보이는 큰 종괴가 확인되었습니다.

강아지 간종양 복부 초음파 검사 / 출처: 에스동물메디컬센터
해당 종괴는 내부에 낭종성 구조와 괴사가 의심되는 부위가 혼재되어 있었고, 단순 염증성 병변보다는 종양 가능성이 높은 형태로판단되었습니다. 보다 정확한 평가와 수술 가능성 판단을 위해 CT 검사를 진행하게 되었습니다.
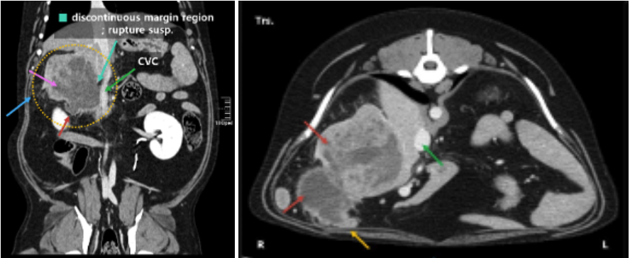
02 CT 검사로 확인된 8cm 간종양
CT 검사 결과, 종양은 간 꼬리엽(caudate lobe)에서 발생한 약 8cm 크기의 거대한 종양이었습니다.

강아지 간종양 CT 사진(약 8cm) / 출처: 에스동물메디컬센터
주의 깊게 보아야 했던 점은 종양이 대정맥(CVC)과 매우 인접해 있었고 중심부에 괴사로 보이는 저감쇠 영역이 존재했으며 부분 파열(partial rupture)이 의심되는 소견이 확인되었다는 점입니다. 또한 주변 장기들과의 유착 소견도 관찰되었습니다.
파열이 의심되는 간종양은 복강 내 출혈 위험이 높아, 상황에 따라 생명을 위협할 수 있기 때문에 신속한 수술적 처치가 필요한 상태였습니다.
03 간종양 절제 수술 진행 과정
환자는 안정적인 마취 상태를 유지한 후 바로 수술에 들어갔습니다. 수술 중 확인된 사항은 다음과 같습니다.
종양은 간 꼬리엽에 단독으로 발생
|
췌장 및 장간막 일부와 유착되어 있어
매우 섬세한 박리가 필요
|
출혈 가능성이 있는 부위는 지혈 클립과
지혈제를 이용해 단계적으로 지혈
|
종양이 포함된 간엽을 완전히 절제
대정맥과 가까운 위치였기 때문에, 수술 과정 전반에서 출혈 관리와 구조물 보호가 매우 중요했습니다.

강아지 간종양 수술사진 / 출처: 에스동물메디컬센터
다행히 수술은 큰 문제 없이 마무리되었고, 회복 과정에서도 특별한 합병증 없이 안정적인 상태를 유지했습니다. 환자는 수술 후 4일째에 퇴원할 수 있었습니다.
이번 간세포암 제거 수술은 울산 에스동물메디컬센터 외과센터 종양외과 특화, 김예은 과장님께서 진행해주셨습니다.

울산 에스동물병원 외과센터 김예은 수의사
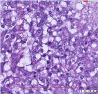
04 간암 조직검사 결과와 이후 치료 계획
절제한 종양 조직의 검사 결과는 Hepatocellular carcinoma, 즉 간세포암으로 확인되었습니다. 다행히 잘 분화된 타입의 악성 종양이었고 수술적으로는 완전 절제가 이루어졌습니다.

강아지 간종양 조직검사 결과 / 출처: 에스동물메디컬센터
⚠️ 다만, 이미 부분 파열이 의심되었던 병변이 있었기 때문에 복강 내 미세 전이가 발생했을 가능성을 배제할 수 없어 현재는 항암 치료를 병행하며 관리 중입니다.
앞으로도 정기적인 영상검사 혈액검사 항암 치료 모니터링을 통해 경과를 면밀히 관찰한다면, 일상생활을 유지하며 안정적인 삶을 이어가는 것이 충분히 가능합니다.
강아지 간종양 수술 후 관리 방법
간종양 절제 수술은 치료의 끝이 아니라 관리의 시작입니다. 간세포암과 같은 악성 종양의 경우, 수술 후 관리가 예후에 큰 영향을 미칩니다.
1. 수술 직후 회복기 관리
수술 직후에는 간 기능이 일시적으로 저하될 수 있고 마취와 수술 스트레스로 전신 컨디션이 떨어질 수 있습니다.
이 시기에는
✔️ 과도한 활동 제한
✔️ 점프, 계단 오르내리기 금지
✔️산책은 짧고 천천히 진행 하는 것이 기본 원칙입니다.
식욕이 평소보다 줄어들 수 있으나, 완전히 먹지 않거나 구토가 반복된다면 병원에서 수의사와의 상담이 필요합니다.

2. 식이 관리 – 간에 부담을 줄여주세요
간종양 수술 후에는 간의 대사 부담을 최소화할 수 있는 식단이 중요합니다. 일반적으로는
✔️ 소화 흡수가 잘되는 고품질 단백질 적절한 양으로 공급
✔️ 과도한 지방 섭취는 제한
✔️ 반려견의 상태에 따라 간 처방식을 활용 하는 것이 도움이 될 수 있습니다.
또한 보호자가 임의로 “단백질은 무조건 줄여야 한다”거나 “보양식을 많이 먹여야 한다”고 판단하여 식단을 변경하는 것은 오히려 간에 부담을 줄 수 있습니다.
3. 약물 복용 및 항암 치료 관리
이번 케이스처럼 종양이 악성이었거나 파열 가능성이 있었던 경우에는 수술 후 항암 치료가 병행될 수 있습니다. 이때 보호자가 가장 주의해야 할 점은 아래와 같습니다.
✔️ 약 복용 시간과 용량을 정확히 지키는 것
✔️구토, 설사, 무기력, 식욕 저하 등 부작용 신호를 기록하는 것
작은 변화라도 기록해 두면 병원 내원 시 치료 방향을 조정하는 데 도움이 됩니다.

4. 정기 검진은 필수입니다
간종양 수술 후 관리에서 가장 중요한 부분은 정기적인 추적 검사입니다. 일반적으로는 혈액검사로 간 수치 변화 확인 복부 초음파 또는 CT로 재발 여부 모니터링을 일정 간격으로 진행합니다.
5. 보호자가 집에서 체크해야 할 이상 신호
다음과 같은 변화가 보인다면 즉시 병원 상담이 필요합니다.
갑작스러운 식욕 저하 또는 체중 감소
잇몸이나 눈이 노래지는 황달 증상
복부 팽만, 숨이 가빠 보이는 모습
이유 없는 무기력, 통증 반응
이러한 증상은 간 기능 이상이나 복강 내 문제를 시사할 수 있습니다.
FAQ로 알아보는 강아지 간종양 수술
Q1. 강아지 간종양이 파열되면 왜 위험한가요?
👉간은 혈관이 풍부한 장기로, 종양이 파열될 경우 복강 내 출혈로 이어질 수 있습니다. 급격한 빈혈, 쇼크 등으로 이어질 수 있어 위험해 질 수 있습니다.
Q2. 수술 후 간 수치가 갑자기 오르는데 괜찮을까요?
👉 수술 직후에는 간 세포에서 효소가 배출되어 간 수치가 상승할 수 있습니다. 대게 1~2주 이후에 안정되며, 이 기간에는 수치와 동시에 동반되는 증상을 중점적으로 살펴봐야 합니다.
간종양, 조기 발견이 예후를 바꿉니다
이번 사례에서 가장 중요한 점은, 아이가 겉으로는 건강해 보였다는 사실입니다. 단순한 통증 반응으로 시작된 내원이 정밀 검사를 통해 파열 위험이 있는 간종양을 조기에 발견하고 치료로 이어질 수 있었습니다.
중·고령 반려동물의 경우 증상이 없어 보여도 정기적인 건강검진이 질병의 조기 진단과 예후 개선에 결정적인 역할을 합니다. 앞으로도 아이가 건강한 시간을 오래 유지할 수 있도록, 에스동물메디컬센터는 지속적인 추적 관찰과 관리를 함께 이어가겠습니다.
이상 울산 경주 포항 종양 전문 동물병원 에스동물메디컬센터였습니다.







