안녕하세요. 세계고양이수의사회(ISFM) Gold Level 인증을 받은 고양이 친화병원 에스동물메디컬센터 양산점입니다.
본원은 고양이만을 위한 별도 진료 시스템을 운영하며, 각 진료실과 입원실 또한 완전히 분리된 환경에서 고양이의 스트레스를 최소화하고 있습니다.
오늘은 비장에서 발생한 비만세포종양(Mast Cell Tumor) 으로 인해 흉수와 호흡곤란이 생긴 9세 고양이의 실제 치료 사례를 소개하겠습니다.

고양이 흉수란?
흉수(hydrothorax)는 심장과 폐를 둘러싼 흉강 내에 체액이 고이는 상태입니다. 폐가 압박되어 충분히 팽창하지 못하기 때문에 산소 공급이 떨어지고, 심하면 호흡곤란·청색증·실신으로 이어질 수 있습니다.

이 상태가 지속되면 심정지나 뇌사로도 발전할 수 있는 응급상황이므로, 호흡이 빠르고 얕거나, 복부가 심하게 움직이며 숨을 쉬는 모습이 보인다면 즉시 병원 내원이 필요합니다.
고양이 흉수의 주요 원인
고양이 흉수는 단일 질환이 아닌, 다양한 원인에 의해 발생합니다.
- 심장질환: 비대심근증(HCM) 등
- 감염성 질환: 전염성 복막염(FIP)
- 종양성 질환: 폐암, 심장 종양, 비만세포종 등
- 간·신장 기능 저하로 인한 체액 정체
- 외상성 손상
흉수가 확인되면 반드시 흉부 방사선, 초음파, 혈액검사, 세포검사 등을 통해 근본 원인을 찾아내는 것이 치료의 핵심입니다.
9살 고양이, 비장 비만세포종양으로 인한 흉수 치료 후기
🐱 환자 정보🐱
품종: 고양이
나이: 9살
주요 증상: 간헐적 호흡 이상, 무기력, 과호흡, 식욕 저하
히스토리: 1년 전 피부 비만세포종 진단 및 수술 제거
이 환자는 1년 전 피부 비만세포종양을 진단받고 수술로 제거했지만, 당시 검사에서 비장 내 전이가 의심되었습니다. 보호자분은 정기 검진을 지속하며 지켜보던 중, 최근 들어 숨이 가빠지고 복부가 들썩이는 증상이 반복되어 내원하셨습니다.
01 고양이 비장 비만세포종 진단
1️⃣ X-Ray 검진
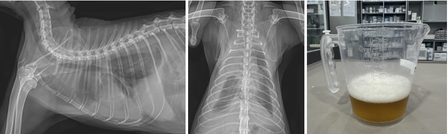
내원 시 청진에서 폐음이 약하게 들렸고, 방사선 촬영 결과 양측 흉강에 다량의 액체 음영(흉수)이 확인되었습니다.

내원 당시 방사선상 확인되는 다량의 고양이 흉수 (1번, 2번 사진) 응급 흉수천자 후 제거된 다량의 흉수 (3번 사진) / 출처: 에스동물메디컬센터
즉시 응급 흉수천자를 통해 다량의 흉수를 배액하였고 호흡 안정화 이후 흉수의 원인 파악을 위해 추가적인 검사가 진행되었습니다.
2️⃣ 복부초음파 검사
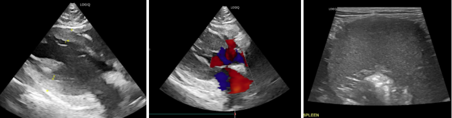
복부 초음파에서는 비장 비대와 내부 결절 구조가 관찰되었습니다.

비대된 비장과 검사상 확인되는 비만세포종 (초음파검사) / 출처: 에스동물메디컬센터
3️⃣ FNA (세포검사) 진행
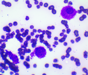
복부초음파에서 고양이 비장종양이 의심되어 FAN를 진행하였고, 세포검사에서는 비만세포가 다량 검출되면서 비장 비만세포종양(Splenic Mast Cell Tumor, MCT) 으로 확진되었습니다.

비대된 비장과 검사상 확인되는 비만세포들 (세포검사) / 출처: 에스동물메디컬센터

02 고양이 비장 비만세포종 수술
* 강아지 비장 비만세포종 제거 수술을 설명드리기 위한 실제 수술 사진이 포함되어 있습니다. 의료적 안내 목적이며 자극적인 내용을 최소화 했습니다 *
비만세포종은 히스타민 분비로 인해 혈관 투과성을 높여 흉수나 복수가 쉽게 발생할 수 있습니다. 따라서 수술로 종양을 완전히 제거하는 것이 가장 중요한 치료입니다.
1️⃣ 수술 전 안정화
심장 초음파와 전신 혈액검사를 통해 마취 가능 여부를 면밀히 평가했습니다.
2️⃣ 비장 절제 수술 (Splenectomy)
개복 시 비장은 정상 크기의 약 3배로 비대되어 있었으며, 피막 표면에 미세한 결절들이 다수 관찰되었습니다. 혈관 결찰과 출혈 최소화를 위해 혈관 실링 장비와 미세수술 기구를 사용하여 비장을 완전히 절제했습니다.

고양이 비장 비만세포종 수술적 제거 / 출처: 에스동물메디컬센터
3️⃣ 흉관 포트 삽입
수술 중 흉강 내 잔여 액체 제거 및 재발 시 배액을 용이하게 하기 위해 흉관 포트(Thoracic Port) 를 장착하였습니다. 이를 통해 수술 후에도 흉수를 안전하게 관리할 수 있습니다.
고양이 비장 비만세포종 조직검사 결과
절제된 비장 조직을 다시 한 번 조직검사를 의뢰하였고, 그 결과 고분화형 비만세포종양으로 확인되었으며 수술 경계부는 깨끗하게 절제(margin free)되었습니다. 환자는 수술적 제거 후 항암제 처방이 진행되었으며 수술 이후 현재까지 이상증상, 흉수의 재현 없이 잘 유지되고 있습니다.

고양이 비장 조직검사 결과 – 비만세포종 진단 / 출처: 에스동물메디컬센터

고양이 비만세포종 수술 전(1번) 수술 후(2번) 수술 후 4개월(3번) 방사선 사진 / 출처: 에스동물메디컬센터
이번 아이는 피부와 비장 두 곳에서 비만세포종이 확인되었지만, 당시에는 피부 쪽 종양만 제거된 상태였습니다. 그로부터 1년이 지나, 비장에 남아 있던 종양이 자라면서 호흡곤란 등 위험한 증상이 나타난 경우입니다.
이처럼 종양이 일부라도 남아 있는 경우에는 겉으로는 괜찮아 보여도 내부에서 변화가 생길 수 있기 때문에 집에서의 세심한 관찰과 정기적인 검진이 매우 중요합니다. 조기에 변화를 발견하면, 아이의 몸에 부담을 줄이고 보다 안정적으로 치료를 이어갈 수 있습니다.
비만세포종양, 왜 조기 수술이 중요한가
고양이 비만세포종양은 초기에 피부에만 국한될 경우 수술이 잘 진행된다면(완전절제) 예후가 양호하지만, 비장이나 장으로 전이되면전신적인 합병증을 유발할 수 있습니다. 비장 내 종양이 남은 상태로 방치되면 흉수·복수·혈압 저하·쇼크 등 생명을 위협하는 합병증으로 이어질 수 있습니다. 따라서 조기 진단과 완전 절제가 중요합니다.
FAQ로 알아보는 고양이 비만세포종
Q1. 고양이 비만세포종은 재발이 잘 되나요?
👉 피부에 국한된 비만세포종은 충분히 제거되면 재발 위험이 낮은 편이지만, 비장·장 등 내장에 발생한 경우에는 전신 침범과 재발 가능성이 있어 수술 후 정기적인 추적검사가 필요합니다
Q2. 비장 제거 후 고양이의 생활에 지장은 없나요?
👉 대부분의 고양이는 비장 절제 후 일상 생활을 잘 유지합니다. 다만 수술 초기에는 감염 및 전신 상태를 주기적으로 확인하는 것이 좋습니다.
양산 에스동물병원 내과 원장님이 알려주는 고양이 비만세포종 체크리스트
- 호흡이 빠르거나, 복부가 크게 움직이면 빠르게 병원 내원하여 검진을 받아주세요.
- 비만세포종양 진단 이력이 있다면 3~6개월 간격 초음파 검진을 권장합니다.
- 수술 후에는 필요에 따라 항암치료를 진행하며, 정기 검진을 통한 재발 모니터링이 필요합니다.
에스동물메디컬센터 양산점은 내과, 외과, 종양학 임상경험이 풍부한 의료진이 협진하며 수술–항암–면역치료–영상진단이 가능한 시스템 아래 운영되고 있습니다. 고양이 환자를 위한 전용 입원실, 산소챔버, 저자극 진정 프로토콜을 운영하여 불필요한 스트레스 없이 안전한 치료 환경을 제공합니다. 아이들의 질병, 진료, 치료와 관련하여 궁금한 점이 있으시다면 에스동물메디컬센터 양산점으로 편하게 연락주세요.
이상 부산 양산 김해 밀양 고양이 친화 병원 에스동물메디컬센터 양산점이었습니다.







