안녕하세요 부산·울산·양산·김해·창원 경상도 지역 강아지고양이 암 진단부터 수술, 항암, 방사선 치료까지 종양 치료 전문 동물병원 에스동물암센터입니다.
✔️ 경상지역 2019년 반려동물 암센터 설립
✔️ 울산 부산 양산 경상 지역 유일 종양 방사선치료 가능 동물병원
✔️ 2019~2024년까지 총 4000회 동물 암 방사선치료
목에 덩어리가 만져진다거나, 아이가 켁켁거리며 숨쉬기 불편해하는 모습을 보인다면 단순한 감기나 기관지 문제로 오해하기 쉽습니다. 하지만 노령견에서 발생하는 갑상선 종양은 이런 증상과 함께 뒤늦게 발견되는 경우가 많습니다.
강아지의 갑상선 종양은 대부분 악성으로 주변 조직(경동맥, 경정맥, 신경 등)에 빠르게 침습하기 때문에, 종양의 크기보다도 수술적 절제가 어렵다는 점이 큰 문제로 작용합니다. 오늘은 갑상선 종양 환자의 방사선 치료 과정을 소개하고 강아지 갑상선 종양 치료에서 방사선치료가 어떤 의미를 가지는지 함께 살펴보겠습니다.

강아지 갑상선 종양
강아지의 갑상선 종양(thyroid tumor) 은 노령견에서 상대적으로 흔하며, 보고에 따라 80–90%가 악성(갑상선암, carcinoma) 으로 분류됩니다. 고양이와 달리 개에서는 대개 호르몬을 과분비하지 않는 비기능성 종양이 많아 초기에 전신 컨디션의 변화가 미미하여 보호자님이 알아차리기 어려울 수 있습니다.

강아지 갑상선 종양 증상
대표적인 증상은 다음과 같습니다.
✔️ 목 부위에서 만져지는 단단한 덩어리
✔️ 켁켁거림, 헥헥거림 같은 호흡기 증상
✔️ 먹거나 마시는 동작의 불편감
✔️ 진행 시 주변 림프절 전이
노령견에서 흔히 발견되는데, 경부 종괴 외에는 뚜렷한 증상이 없어 보호자가 발견 후에도 상당한 시간이 지난 뒤 내원하는 경우가 많습니다.
강아지 갑상선 종양 수술이 어려운 이유
갑상선 종양은 발견 당시 이미 경동맥, 경정맥, 주요 신경 등 중요 구조를 침습한 상태인 경우가 많습니다. 따라서 완전 절제가 불가능하거나 수술 위험도가 높아, 수술 대신 방사선치료(RT) 를 선택하는 사례가 늘고 있습니다.
강아지 갑상선 종양 방사선 치료 사례
🐶 환자정보 🐶
품종: 스피츠
나이: 10살
증상: 최근 헥헥 거리는 증상과 목 부위 혹
보호자분은 기생충 예방 차 인근 병원에 내원해 문진 중 최근 헥헥거리는 증상과 목 부위 혹에 대해 문의하셨습니다. 해당 병원에서 큰 병원을 찾아가 보라는 권유를 받으셔 내원하셨습니다.
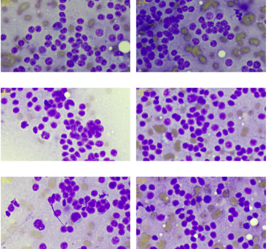
◼ 갑상선암 진단 (FNA & CT 검사)
CT 검사 및 세침흡인 검사를 진행한 결과, 갑상선 유래 종양이 의심된다는 소견을 받았습니다. 갑상선 종양은 본래 수술이 1순위로 고려되나, CT상 경동맥, 경정맥, 주변 신경 등 주변 조직에 침습되어있어 수술 위험도 높아 방사선 치료로 선택하였습니다.

강아지 갑상선 환자의 세침흡인검사 결과 / 출처: 에스동물암센터

강아지 갑상선 환자의 CT 검사 결과 / 출처: 에스동물암센터
◼ 갑상선암 방사선 치료 계획
환자의 종양은 이미 크기가 많이 커져 있고 뚜렷하게 경계가 나뉘어져 있지 않아, 주변 림프절로도 전이 가능성이 높아 보였습니다.
⚠️
따라서 방사선치료를 진행한다면 얼마나 효과를 기대할 수 있는지, 치료 과정에서 생길 수 있는 부작용, 몇 차례 치료가 필요한지, 그리고 추가적인 항암치료까지 함께 고려할지 등 여러 부분을 함께 신중히 살펴봐야 했습니다.
그리고 보호자님의 치료 의지가 강하셨기에 빠른 일자에 방사선치료용 모의CT 촬영을 진행하였고 타원 CT와 비교하였을 때, 아직 변화가 일어나지 않은 상태였습니다.

갑상선암 강아지 환자의 방사선치료용 모의 CT검사 / 출처: 에스동물암센터
환자는 만성 질환 없이 건강하게 지내온 환자로 마취 위험도가 낮아, 보호자님과 상의 후 총 20회 저선량·고분할 방사선치료 프로토콜을 적용하기로 하였습니다.
📌
이번 갑상선 암 방사선치료는 기대 수명 연장을 목표로 진행하였습니다.
◼ 방사선 치료 진행 및 결과
치료 도중 급성 부작용 발생 우려되었으나 다행히 큰 문제 없이 전 일정을 마무리하였습니다.

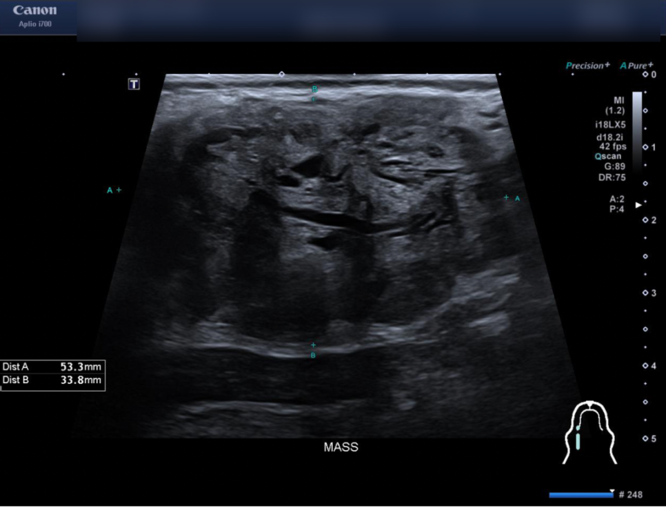
갑상선 종양 방사선 치료 후 초음파 사진 / 출처: 에스동물암센터
치료 종료 시점의 초음파 검사에서 종양 크기가 감소한 것이 확인되었으며, 추가적인 원격 전이 소견은 발견되지 않았습니다. 또한 환자는 방사선 치료 종료 후 환자의 상태에 맞춰 표적 항암치료를 계획하였습니다.
강아지의 갑상선 종양은 발견되는 시점에서 이미 종양이 크고, 주변 혈관이나 신경을 깊게 침범한 상태로 확인되는 경우가 많습니다. 그렇다고 해서 반드시 수술이 불가능한 것은 아니지만, 종양의 특성상 완전 절제가 쉽지 않고 수술 자체의 위험도가 높아지는 경우가 많습니다. 방사선치료와 항암치료 같은 다른 치료 방법들을 적절히 조합하면, 수술을 했을 때와 비슷한 수준의 기대 수명을 얻을 수도 있고, 종양 크기가 줄어든 뒤 차후에 수술을 다시 고려할 기회가 생기기도 합니다.
따라서 “수술이 어렵다”는 이야기를 들으셨더라도 너무 낙담하지 않으셨으면 합니다.
중요한 것은 환자 아이의 현재 상태를 고려해 어떤 치료 조합이 가장 적합한지 함께 고민하는 것입니다.
에스동물암센터는 환자 아이에게 가장 적합한 방법을 끝까지 함께 고민하며, 아이가 더 오래 편안히 지낼 수 있도록 최선의 치료 방향을 함께 찾아가겠습니다. 이상 부산 양산 울산 경상도 종양 전문 병원 에스동물암센터였습니다.