안녕하세요, 강아지고양이 암 진단부터 수술, 항암, 방사선 치료까지 종양 치료 전문 동물병원 에스동물암센터입니다.
노령견에서 흔히 나타나는 신경 증상이나 호르몬 이상 증상을 단순 노화로 생각하기 쉽습니다. 하지만 그 이면에는 뇌하수체 종양이 숨어 있는 경우가 많습니다. 오늘은 실제 뇌하수체 종양 환자의 방사선 치료 과정을 소개하고, 강아지 뇌하수체 종양 치료에서 방사선치료가 어떤 의미를 가지는지 함께 살펴보겠습니다.

뇌하수체는 어떤 기관인가요?
뇌하수체는 뇌의 기저부에 위치한 작은 내분비 기관으로, 흔히 ‘호르몬의 조절 센터’라고 불립니다. 몸의 다양한 장기에 신호를 보내는 여러 가지 호르몬을 분비하며, 성장·대사·스트레스 반응·생식 기능까지 폭넓게 조절하는 중요한 역할을 합니다. 특히 뇌하수체는 시상하부와 연결되어 있어 체내 항상성 유지에 핵심적인 기관으로 작용합니다. 따라서 뇌하수체에 종양이 생기면 단순히 뇌 압박으로 인한 신경학적 증상뿐만 아니라, 호르몬 이상으로 전신적인 문제까지 동반될 수 있습니다.
강아지 뇌하수체 종양이란?
뇌하수체 종양은 뇌하수체에서 발생하는 종양으로, 종양이 커지면 뇌 조직을 압박하거나 호르몬 분비 이상을 일으켜 여러 가지 임상 증상을 유발합니다.
주요 증상
발작, 선회 운동
기력 저하, 식욕 부진
보행 이상, 마비 증상
행동 변화
쿠싱 증후군 유사 증상(다음·다뇨, 피부 변화 등)
뇌하수체 종양 진단 방법
뇌하수체 종양은 MRI 촬영이 가장 정확한 진단법으로, 종양의 크기·위치·주변 조직 침습 여부까지 평가할 수 있습니다.

뇌하수체 종양의 치료, 방사선 치료가 효과적입니다
뇌하수체 종양은 수술 접근이 쉽지 않아 방사선 치료가 중요한 대안으로 활용됩니다. 고에너지 방사선을 종양 부위에 정밀하게 조사해, 종양 성장 억제와 신경 증상 개선을 목표로 합니다.
1. 정위 방사선 치료(SRT)
소수의 분할로 고선량을 정밀하게 조사하는 최신 기술입니다. 치료 횟수가 적어 마취 부담이 적고 정상 뇌 조직 손상을 최소화할 수 있어,마취 고위험군 환자에서 유용합니다.
2. 분할 방사선 치료(DRT)
15~20회 정도 나누어 진행하는 전통적인 방식으로, 장기간에 걸쳐 종양을 안정적으로 조절합니다.
실제 사례: 요크셔테리어 강아지 뇌하수체 종양 치료
🐶 환자 정보 🐶
나이: 9살
품종: 요크셔테리어, 중성화 수컷
증상: 1~2년 전부터 발작이 있었으며, 최근 기력 저하·식욕 부진·보행 이상·마비 증상 악화
주의사항: 이전 MRI 촬영시 마취 심박수 저하
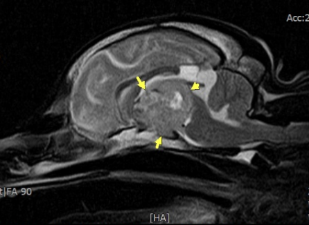
환자는 정확한 진단을 위해 MRI 촬영하였고 뇌하수체 종양으로 진단되었으며, 소뇌 탈출까지 동반된 상태였습니다.
치료 계획 및 방사선 치료 (SRT)
방사선 치료 전 모의 CT
정확한 치료 계획을 수립하기 위해 방사선 치료 전 모의CT 촬영을 진행하였습니다. 모의CT 촬영을 통해 종양의 위치, 크기, 주변 조직과의 관계를 파악한 후에 치료 방향을 결정하였습니다.

본 뇌하수체 종양 환자는 MRI 영상 촬영 중 심박수가 30~40회까지 떨어질 정도로 마취 위험도가 높았습니다. (본원 에스동물암센터의 MRI 촬영은 에스동물메디컬센터 울산점에서 진행 가능합니다.)
이에 따라 마취 횟수가 적은 정위 방사선 치료(SRT)를 선택했습니다. 방사선량을 3회에 걸쳐 분할 조사하는 계획을 수립했습니다.치료 기간 동안 간헐적 심박수 저하·혈압 상승이 있었으나 의료진의 빠른 처치로 안정적으로 관리되었습니다. 에스동물암센터는 방사선 치료 전에 정밀 모의 CT 촬영을 진행하여 종양의 크기·위치·주변 조직과의 관계를 세심하게 확인합니다. 이를 기반으로 환자 개별 맞춤형 방사선 치료 계획을 세워, 안전하면서도 효과적인 치료를 이어가고 있습니다.
관련 글 보러가기
▶️ 강아지 뇌질환(뇌종양) MRI 검사, 마취가 걱정되시나요? 최신 연구로 본 안전한 두개내압 상승 예측 (부토파놀 진정반응)
방사선 치료 결과
강아지 뇌하수체 종양 방사선 치료 결과
환자는 특별한 합병증 없이 3회 방사선 치료 완료 후 퇴원하였습니다. 이후 내복약을 줄여가며 관리했고, 약간의 운동실조가 남았지만 전반적인 활력과 컨디션은 양호하게 유지되고 있습니다. 치료 2년 후 현재까지도 큰 증상 악화 없이 일상 생활 유지 중입니다.

뇌하수체 종양과 SRT 방사선치료
본 뇌하수체 종양 환자의 SRT 방사선 치료 사례는 마취 고위험군 환자에서도 SRT를 통해 안전하고 효과적으로 뇌하수체 종양을 치료할 수 있음을 보여줍니다. 방사선 치료는 강아지 뇌하수체 종양의 중요한 치료법이며, 특히 SRT는 다음과 같은 장점을 가집니다.
1. 정밀한 타겟팅
주변 정상 뇌조직 손상을 최소화하여 부작용 발생률을 낮춥니다.
2. 짧은 치료 기간
전체 치료 기간이 짧고 마취 횟수가 적어 환자와 보호자의 부담을 줄여줍니다.
3. 높은 치료 반응률
종양의 성장을 억제하고 신경 증상을 개선하여 환자의 삶의 질을 높이는 데 효과적입니다. 물론 방사선 치료 과정에서 뇌압 상승과 같은 급성 부작용이 나타날 수 있으므로, 숙련된 의료진의 세심한 모니터링과 적극적인 관리가 필수적입니다. 강아지 뇌하수체 종양은 조기 발견과 정확한 진단이 중요합니다. 수술이 어려운 경우에도 방사선 치료, 특히 SRT 방사선치료로 충분히 종양 성장을 억제하고 삶의 질을 개선할 수 있습니다.
에스동물암센터는 반려견의 상태를 면밀히 평가하여 가장 적합한 치료 방향을 제시하고, 끝까지 보호자와 함께 아이의 삶을 지켜나가겠습니다. 이상, 울산·부산·양산 경상도 종양 전문 에스동물암센터였습니다.







