안녕하세요. 최선의 치료를 위해 고민하고, 최상의 결과를 위해 노력하는 에스동물메디컬센터 양산점입니다.
강아지가 숨 쉬는 모습이 평소와 달라 보일 때, 보호자는 가장 먼저 강아지 심장병 호흡 이상을 떠올리게 됩니다. 특히 이미 심장병을 진단받고 관리 중인 경우라면 심장병의 진행이나 합병증으로 연결해 생각하게 됩니다. 하지만 임상 현장에서는 강아지 심장병 호흡 이상과 유사한 증상을 보이지만 다른 질환인 경우도 적지 않습니다. 그중 하나가 바로 강아지 흉선종양입니다. 오늘은 심장병을 관리 중이던 강아지가 호흡 이상으로 흉선 종양을 발견하여 치료한 사례에 대해 소개하겠습니다.
▶️ 양산 에스동물병원 강아지 고양이 심장검진 알아보기

흉선 종양이란 무엇인가요?
흉선 종양은 흉부 내부, 심장 앞쪽에 위치한 흉선(thymus)에서 발생하는 종양입니다. 이 흉선에서 종양이 발생하면 초기에는 뚜렷한 임상 증상이 나타나지 않는 경우가 많습니다.
하지만 종양의 크기가 점차 커지면서 주변 구조물인 기도, 폐, 심장을 압박하게 되고, 이로 인해 다양한 호흡 관련 이상이 발생할 수 있습니다. 강아지 흉선 종양은 상대적으로 양성 비율이 높은 편으로 알려져 있으나, 악성인 경우를 배제할 수 없기에 조직 검사를 통해 판단할 것을 권장합니다.
⚠️ 흉선 종양은 일반적으로 양성의 비율이 악성보다 높은 편으로 알려져 있지만, 악성인 경우도 배제할 수 없기에 조직 검사를 통해 판단하는 것이 좋습니다. 악성도를 가진 경우 종양의 성격에 따라 치료 방향과 예후가 달라질 수 있습니다.

흉선종양이 심장병과 헷갈리는 이유는?
흉선종양이 진단을 어렵게 만드는 가장 큰 이유는 증상이 심장병과 매우 유사하게 나타날 수 있기 때문입니다.
숨을 가쁘게 쉬는 모습
한 번에 숨을 쉬지 못하고 여러 번 나눠 쉬는 호흡
활동량 감소 없이도 보이는 호흡 불편감
이러한 증상은 심장병의 진행이나 폐수종에서도 흔히 관찰됩니다. 특히 이미 심장병을 진단받은 강아지의 경우, 보호자뿐 아니라 의료진 역시 기존 심장질환의 악화를 먼저 의심하게 되는 경우가 많습니다.
이로 인해 흉부 내부에 발생한 다른 질환의 가능성이 상대적으로 늦게 고려될 수 있습니다.
흉선종양의 진단과 치료
흉선 종양은 증상만으로는 다른 심장·호흡기 질환과 구분이 어렵기 때문에 영상 검사가 매우 중요합니다. 흉부 방사선 검사를 통해 심장 크기 변화나 폐수종 여부를 확인하는 과정에서 심장 앞쪽, 즉 종격동 부위에 비정상적인 음영이나 종괴가 관찰되기도 합니다.
이후 보다 정확한 평가를 위해 CT 촬영을 통해 종양의 위치, 크기, 주변 장기와의 관계, 전이 여부를 종합적으로 확인하게 됩니다.치료는 대부분 수술적 제거가 가장 효과적인 방법으로 제시되며, 수술 후에는 조직 검사를 통해 종양의 정확한 종류와 악성도를 확인합니다.

심장병으로 관리 중이던 강아지에서 발견된 흉선 종양 케이스
이번 환자는 수년 전부터 심장약을 복용하며 심장병 단계의 진행이나 관련 증상 없이 비교적 안정적으로 지내고 있던 강아지였습니다. 최근 들어 보호자분께서는 숨을 한 번에 쉬지 않고 여러 번에 걸쳐 짧게 나눠 쉬는 호흡이 지속적으로 반복되는 것을 관찰하셨습니다.
기존 심장질환만으로 설명되지 않는 변화
이번 환자의 경우 특별히 심장병과 관련된 증상이 진행된 것 같지는 않았으나, 보호자분이 평소에 보던 모습과 다른 호흡을 하는 상태였습니다. 이에 따라 정확한 원인 파악을 위해 아래와 같은 가능성을 염두에 두고 검진이 진행되었습니다.
📌 진단적 추론 과정 (Reasoning)
1. 심장병이 악화되었는가?
- 기존의 심장질환이 진행되어 호흡의 불편감이 있을 가능성
- 기존의 심장질환이 진행되어 폐수종 등의 합병증이 발생했을 가능성
2. 기존 심장질환 외 호흡의 이상을 일으키는 다른 질병이 원인인가?
– 기관지 협착 등 호흡기 자체의 문제 가능성
– 종양 등 심장병 외의 문제 가능성
일반적으로 현재 보이는 증상이 기존에 있던 질환과 연관되었을 가능성이 높아 기존 질환에 대한 검사만 진행되는 경우가 많습니다. 하지만 특별한 원인이 확인되지 않는 경우에는 기존에 없던 질환이 새로 발생했을 가능성도 염두에 두고 추가적인 검사를 진행하는 것이 중요합니다.
흉부 방사선과 CT 검사로 확인된 흉선 종양
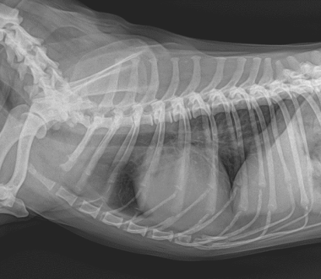
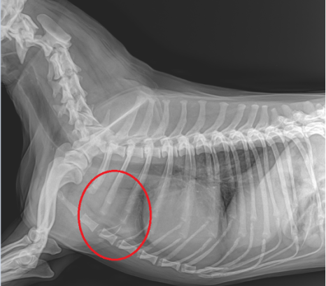
■ 흉부 방사선(X-Ray) 검사 결과
심장 크기의 변화나 폐수종 소견은 확인되지 않았으나, 심장 앞쪽 수준에서 종괴로 의심되는 소견이 발견되었습니다.


강아지 흉선 종양 방사선 (X-Ray)/ 기존 흉부 방사선 (좌) 증상 발생 후 흉부 방사선 (우) /출처: 에스동물메디컬센터 양산점
심장초음파 검사에서도 호흡 양상의 변화를 설명할 만한 심장성 원인은 확인되지 않아 CT 촬영을 통해 보다 정확한 평가를 진행하였습니다.
■ 흉부 CT 검사 결과
종격동 공간 내 흉선에서 유래한 흉선종양이 진단되었으며, 다른 장기로의 전이는 확인되지 않았습니다.

강아지 흉선 종양 CT 검사 결과/ 출처: 에스동물메디컬센터
강아지 흉선 종양 수술
심장질환에 대한 전반적인 평가 결과 전신마취가 가능하다고 판단되어 종양에 대한 수술적 제거가 진행되었습니다.

완전히 제거된 환자의 흉선 종양 / 출처: 양산 에스동물메디컬센터
종양은 완전히 제거되었으며, 조직 검사 결과 흉선종양으로 확진되었습니다. 세부 검사상 악성도가 확인되어 현재는 추가적인 치료와 함께 정기적인 추적 관찰을 이어가고 있습니다.


강아지 흉선 종양 조직 검사 결과 / 출처: 양산 에스동물메디컬센터


강아지 흉선 종양 제거 전(좌) / 흉선 종양 제거 후(우) / 출처: 양산에스동물메디컬센터
FAQ로 알아보는 강아지 흉선 종양
Q1. 흉선 종양은 꼭 수술해야하나요?
👉 임상적 증상이 없고, 종양 크기가 작더라도 수술이 가능한 상태라면 수술적 제거가 표준 치료로 알려져 있으며, 수술 후 조직 검사를 통해 종양의 악성 유무를 판단하게 됩니다. 다만, 아이의 전신 상태와, 임상 증상 등을 종합적으 고려하여 단기 모니터링을 진행할 수 있습니다.
Q2. 흉선 종양 수술 후 예후는 어떤가요?
👉 강아지 흉선 종양은 수술 후 예후가 상대적으로 좋은 편으로 분류됩니다. 특히 완전 절제가 이루어진 경우 장기간 안정적인 생활을 기대할 수 있습니다.
이번 사례는 호흡 이상이 반드시 심장병의 악화를 의미하지는 않는다는 점을 보여줍니다. 또한 심장병이 있어도 정확한 평가를 통해 필요한 치료를 선택할 수 있다는 점, 보호자의 세심한 관찰이 진단의 출발점이 된다는 점을 다시 한번 확인할 수 있었습니다.
아이들의 증상이 평소와 다르다면 고민하지 마시고 동물병원에 내원하시어 상담을 받아주세요. 이상 암으로 고통받는 반려동물과세심한 케어가 필요한 노령동물을 위한 종양 전문 · 노령 전문 동물병원 에스동물메디컬센터 양산점이었습니다.







