에스는 다릅니다. 대학병원 이상의 멸균 시스템을 준수합니다.
에스동물메디컬센터는 “근거 중심 의학” 에 기반을 둔 입증된 수술을 지향하며, 모든 수술에서 “멸균” 을 최우선시합니다.
안녕하세요. 강아지 TPLO 수술 케이스 400건 이상 부산•양산 지역 수술 전문 동물병원 에스동물메디컬센터 양산점입니다.
강아지가 갑자기 뒷다리를 절뚝거리며 잘 딛지 못하는 경우, 뼈, 관절, 근육이나 인대와 같은 정형외과적 문제일 수 있습니다. 하지만 만약 다리에 힘이 빠져 끌고 다니는 보행 형태를 보인다면 신경학적 질환도 고려해야 합니다.
오늘은 부산 양산 강아지 정형외과 에스동물메디컬센터 양산점에서 슬개골탈구를 앓고 있던 강아지 환자가 십자인대 파열이 발생하여 동시에 치료한 케이스에 대해 설명드리도록 하겠습니다.
비숑 강아지 TPLO / MPLR 수술 케이스
🐶 환자 정보 🐶
견종 : 비숑
나이 : 9살
성별 : 중성화 암컷
몸무게 : 6.3kg
증상 : 우측 뒷다리를 잘 못써요
본 강아지 환자는 일주일 전부터 뒷다리를 잘 쓰지 못하여 근처 지역병원에 내원하여 슬개골 탈구 진단 및 십자인대 단열 의심 소견을 받았습니다. 큰 외상은 없었으며, 증상은 갑자기 찾아오게 되었습니다.
일반적으로 십자인대 파열은 유전적/퇴행성(노령성) 요인에 의해 발생하기 때문에 큰 외상이 없어도 발생할 수 있습니다.
강아지 십자인대 파열 진단을 위한 신체검사와 X-Ray
에스동물메디컬센터 양산점에서는 십자인대 파열 정확한 진단을 위해 신체검사, 무릎관절 X-ray, 전방 전위 검사를 진행하였습니다. 전방 전위 검사는 무릎 관절의 불안정성을 평가하는 검사로 십자인대 단열을 검사하는데 유용합니다.
■ 신체검사 결과
환자는 경골이 비정상적으로 앞으로 밀려나오는 현상이 확인되었습니다. (아래 신체검사 영상 참고)
신체검사상에서 십자인대 단열로 인해 전방으로 변위되는 정강이뼈가 확인됩니다.
양산 에스동물병원 십자인대 신체검사
■ X-ray 검사 결과
종합적으로 우측 슬개골 탈구 및 전방 십자인대 완전 파열(CrCL rupture)로 확진하였습니다.
보호자와 충분한 상담 슬개골 탈구 교정 및 TPLO 수술을 진행하기로 결정했습니다.

양산 에스동물병원 강아지 슬개골탈구 X-RAY 사진 / 출처: 에스동물메디컬센터
강아지 TPLO 수술 계획 (TPA 측정)
아이들마다 다리 구조와 경골 경사각이 모두 다르기 때문에 수술 전 계획이 정밀하게 이루어져야 수술이 잘 이루어질 수 있습니다. 양산 에스동물병원에서는 강아지 TPLO 수술 전 TPA VIEW를 이용하여 아이의 TPA를 정확히 측정하고 절골할 위치와 회전 각도, 사용할 플레이트 사이즈까지 확인 후 수술을 진행합니다.

양산 에스동물병원 강아지 TPLO 수술 계획 (TPA 측정) / 출처: 에스동물메디컬센터
강아지 TPLO 수술 및 멸균 관리
강아지 TPLO 수술은 뼈에 플레이트와 스크류를 삽입하는 고난도 수술로, 멸균 관리가 중요합니다. 멸균이 제대로 이루어지지 않으면 수술 부위 감염, 부종, 발적, 재수술 위험으로 이어질 수 있습니다.
■ 수술 과정
① 계획된 각도에 따라 경골 절골
② 절골된 뼈를 회전시켜 올바른 위치로 조정
③ 플레이트와 스크류로 안정적으로 고정

양산 에스동물병원 강아지 슬개골 탈구 교정술 (활차구 성형술) / 출처: 에스동물메디컬센터

양산 에스동물병원 십자인대 단열 교정술 (TPLO) / 우측 제거된 십자인대 / 출처: 에스동물메디컬센터
양산 에스동물병원 강아지 TPLO
에스동물메디컬센터 양산점은 국제 소동물 외과 인증을 수료하고, 대학원 외과 과정을 이수 중인 ‘전태영 원장’님이 직접 수술을 집도합니다.
또한 감염위험 최소화를 위해 포비돈 소독제와 아이오반 멸균테이프를 사용합니다.
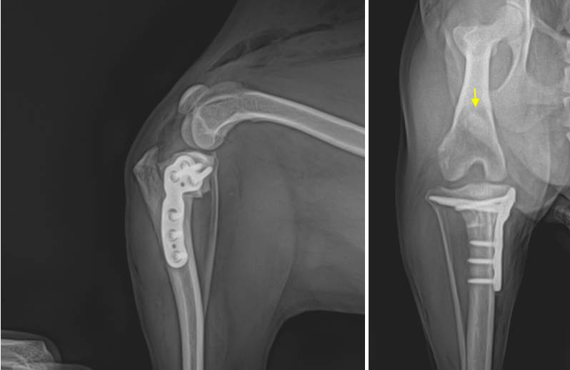
십자인대 TPLO 수술 결과
환자는 약 50분의 슬개골 탈구 & TPLO 수술을 마치고 안정적으로 회복하였습니다. 수술은 수술 전 TPA 계획에 따라 잘 진행되었으며, X-ray 에서도 플레이트와 스크류들이 잘 장착되어있는 것이 확인됩니다.

강아지 TPLO 수술 후 방사선 사진 / 출처: 에스동물메디컬센터 양산점
에스동물메디컬센터 양산점에서는 외과 수술 시, 전문 외과팀과 마취팀으로 구성되어 있어 보다 안전한 마취와 수술을 진행할 수 있습니다.


양산 에스동물병원 수술 시 마취 관리
비숑 십자인대 파열 수술 후 재활 치료
TPLO 수술 후에는 재활 프로그램이 예후에 큰 차이를 만듭니다.
양산 에스동물메디컬센터 수술센터에서는
✔️ 저주파 치료
✔️ 레이저 치료
✔️ 초음파 치료 등 수술 직후부터 적용하여 통증을 완화하고 염증 회복을 돕습니다.
또한 수중 러닝머신, 짐볼 운동, 한방 치료 등 다양한 맞춤 재활 프로그램을 운영하여, 관절 기능 회복과 보행 개선을 적극적으로 지원합니다.
FAQ로 알아보는 강아지 슬개골탈구와 십자인대파열
Q1. 강아자 슬개골탈구와 십자인대 파열, 수술하지 않으면 어떻게 될까요?
파행증상을 보이다가도 다시 돌아오는 경우도 많습니다. 하지만 그 사이에 관절 연골 손상, 퇴행성 관절염이 진행되어 어느 순간 다시 보행의 어려움을 보일 수 있습니다
Q2. 우리아이는 슬개골탈구만 진단 받았는데, 나중에 십자인대 파열이 진행될 수 있나요?
네, 노령 강아지가 십자인대 파열을 겪을 확률이 높아지는 만큼, 지금은 슬개골 탈구 증상만 보이더라도 추후 십자인대 파열까지 진행될 수 있습니다.
에스동물메디컬센터 양산점 수술실 CCTV와 입원실
에스동물메디컬센터 양산점은 최근 리모델링을 통해 보이는 수술실을 운영하고 있으며, 정형외과 수술 및 고난도 수술을 받은 아이들이 온전히 회복할 수 있는 입원시실을 추가하였습니다. 보이는 수술실에서는 아이가 수술을 받는 과정을 CCTV로 확인하실 수 있습니다.
확장된 입원 병동에서는 정형외과 수술을 받은 아이, 대형견 아이들, 이 외에도에도 고난도 수술을 받은 아이들이 온전히 회복할 수 있도록 돕습니다.
우리아이가 슬개골탈구 혹은 십자인대 파열로 문의사항이 있으시다면 카카오톡 채널 혹은 전화로 문의주세요
이상 양산•부산 수술전문 동물병원 에스동물메디컬센터 양산점이었습니다.







