안녕하세요 울산·포항·경주·부산 경상지역 강아지 관절 속 정밀진단과 관절경 수술이 가능한 에스동물메디컬센터 울산점입니다.
최근 본원에 리트리버 강아지 환자가 앞다리를 절뚝거리는 증상으로 내원했습니다. 대형견 보호자라면 한 번쯤 “잠깐 삐끗했겠지”라고 생각하기 쉬운 상황이지만 FMCP(내측 구상돌기 분리증) 같은 팔꿈치 질환 가능성이 있습니다.
이번 글에서는 리트리버 대형견 강아지의 관절경 수술 사례를 통해 내측 구상돌기 분리증(FMCP)가 어떤 질환인지, 어떤 과정을 통해 진단하는지, 관절경 수술의 장점은 무엇인지 설명해 드리도록 하겠습니다.

관절경 수술 사례는 글 중반부 시작됩니다.
FMCP(내측 구상돌기 분리증)란 무엇인가요?
강아지 내측 구상돌기 분리증(FMCP)은 팔꿈치 관절을 구성하는 뼈 중 하나인 ‘척골’의 일부가 떨어져 나가는 질환으로 관절안에서 지속적인 통증과 염증을 유발합니다.
팔꿈치 관절안에서 일어나는 변화
강아지의 팔꿈치는 상완골, 요골, 척골 세 개의 뼈가 맞물려 움직이는 구조입니다. 이 균형이 깨지면 FMCP가 발생할 수 있습니다.
✔️ 뼈의 균열과 분리
척골 내측 구상돌기 부위는 성장 불균형이나 반복적인 하중으로 인해 미세한 균열이 생깁니다. 시간이 지나면서 이 부위가 떨어져 나가게 됩니다.
✔️ 연골 손상 (키싱 병변)
떨어진 뼛조각은 관절 내를 돌아다니며 상완골의 연골을 긁어 손상시킵니다. 이를 ‘키싱 병변’이라고 하며, 관절 손상을 빠르게 진행시킵니다.
✔️ 염증 반응과 통증
관절 내 염증이 증가하면서 관절낭이 붓고, 윤활 역할을 하는 활액의 성질도 변하게 됩니다. 이로 인해 통증과 움직임 제한이 심해집니다.

이런 증상이 보이면 의심해야 합니다
FMCP는 다음과 같은 특징적인 증상으로 나타납니다.
✔️앞다리를 절뚝거림 (지속적 또는 간헐적)
✔️ 산책 후 통증 증가
✔️ 자고 일어난 직후 뻣뻣한 움직임
✔️ 팔꿈치를 만지거나 움직일 때 통증 반응
✔️ 관절 부위 부종
증상이 반복되거나 점점 심해진다면 정밀 검사가 필요합니다.
FMCP, 왜 X-RAY 보다 CT와 관절경일까?
✔️ 신체검사
팔꿈치 관절을 굽히거나 펼 때 통증 반응이 나타나며, 관절 주변 부종이 확인될 수 있습니다.
✔️ CT 검사
FMCP는 일반 엑스레이로 확인이 어려운 경우가 많습니다. 따라서 CT 촬영을 통해 떨어진 뼛조각을 정확히 확인할 수 있습니다.
FMCP 치료 – 왜 관절경 수술을 선택할까요?
FMCP는 수술적 치료가 필요한 경우가 많습니다. 과거에는 관절을 크게 절개하여 병변을 제거하는 방식이 주로 사용되었지만, 최근에는 관절경 수술(Arthroscopy)을 이용한 치료가 점점 더 많이 시행되고 있습니다. 관절경 수술은 작은 절개만으로 관절 내부를 직접 확인하며 치료할 수 있어, 조직 손상을 줄이고 회복 속도를 높일 수 있다는 장점이 있습니다.

리트리버 FMCP 관절경 수술 케이스
대형견 강아지 환자는 앞다리를 절뚝거리는 증상으로 병원에 내원했습니다. 보호자님께서는 초기에는 일시적인 문제로 생각하셨지만, 시간이 지나도 증상이 개선되지 않고 반복되면서 내원을 결정하게 되었습니다.
🐶 환자 문진 🐶
앞다리 파행이 점차 지속적으로 나타남
산책 후 통증 증가
휴식 후 첫걸음에서 뻣뻣함
활동량 감소
이에 따라 단순 염좌가 아닌 관절 질환 가능성을 우선적으로 고려하였습니다. 정확한 검진을 위해 신체검사와 영상 검사를 진행하였습니다.
신체검사 – 통증의 위치를 찾다
병원 내 신체검사에서는 다음과 같은 소견이 확인되었습니다.
✔️ 팔꿈치 관절을 굽히거나 펼 때 명확한 통증 반응
✔️특정 각도에서 더욱 강하게 나타나는 불편감
✔️ 관절 주변의 경미한 부종
이 단계에서 단순 염좌보다는 관절 구조적 문제 가능성이 높다고 판단되었습니다.
영상 검사 – CT로 확인된 원인
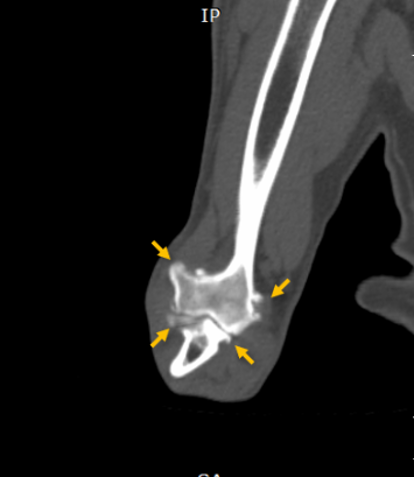
초기 엑스레이 검사에서는 뚜렷한 이상이 확인되지 않았습니다. 하지만 FMCP는 작은 뼛조각이 원인이 되는 질환이기 때문에, 보다 정밀한 검사가 필요하다고 판단되어 CT 촬영을 진행하였고, 그 결과 척골 내측 구상돌기의 분리된 뼛조각이 명확하게 확인되었습니다.


대형견 강아지 FMCP CT 촬영 / 출처: 에스동물메디컬센터
최종적으로 대형견 강아지는 다음과 같은 최종 진단을 받게 되었습니다.
📌 대형견 강아지 앞다리 절뚝거림 최종 진단
✔️ 내측 구상돌기 분리증(FMCP)
✔️ 이차적인 퇴행성 관절염(Degenerative Joint Disease)
특히 이미 연골 손상이 일부 진행된 상태로 판단되어, 빠른 치료가 필요한 상황이었습니다.
수술 계획과 관절경 수술
본 대형견 환자의 경우 통증의 원인이 되는 뼛조각이 명확히 확인되었기 때문에, 보존적 치료보다는 수술적 제거가 가장 효과적인 방법으로 판단되었습니다. 이에 따라 관절 내부를 직접 확인하면서 병변을 제거할 수 있는 관절경 수술을 진행하기로 결정했습니다.
에스동물메디컬센터는 경상권에서 관절경 수술이 가능한 동물병원으로, 정밀한 관절 질환 치료를 시행하고 있습니다.
수술은 관절경을 이용하여 진행되었습니다.
팔꿈치 부위에 약 2~3mm 크기의 작은 구멍 생성
|
초소형 카메라를 통해 관절 내부 실시간 확인
|
통증을 유발하는 뼛조각 찾아낸 후 제거
|
손상된 연골 및 염증 조직 정리


대형견 강아지 관절경 수술 사진/ 출처: 에스동물메디컬센터


강아지 FMCP 관절경 진단 출처; 에스동물메디컬센터접기/펴기
강아지 FMCP 관절경 수술 영상 / 출처: 에스동물메디컬센터
관절경 수술은 주변 조직 손상을 최소화하기 때문에 수술 후 통증이 훨씬 적고, 회복 속도가 빠르다는 장점이 있습니다.
▶️ 강아지 관절질환, MRI, CT, 방사선 촬영보다 더 세밀한 진단이 필요할 때는 관절경!


울산 에스동물병원 외과센터 정유정 수의사 & 김경빈 수의사
이번 대형견 강아지 FMCP 관절경 수술은 울산 에스동물병원 외과센터 정유정 원장님과 김경빈 과장님이 함께 진행해 주셨습니다.
관절경 수술 후 경과
수술 이후 대형견 환자는 다음과 같은 관리가 병행되었습니다.
✔️ 통증 조절 및 항염 치료
✔️ 초기 안정 후 점진적인 재활 운동
✔️ 활동량 조절 및 체중 관리
수술 직후에는 절뚝거림이 남아 있었지만, 시간이 지나면서 점차 보행이 안정되었고, 일상적인 활동이 가능할 정도로 회복되었습니다.
FAQ로 알아보는 강아지 FMCP
Q1. FMCP 꼭 수술을 해야 하나요?
모든 경우에 반드시 수술이 필요한 것은 아닙니다. 다만 다음과 같은 경우에는 아이의 통증을 줄이고 보행 회복을 돕기 위해 수술을 통해 골편을 제거하는 치료가 고려됩니다.
- 분리된 골편이 확인된 경우
- 통증이나 절뚝거림이 지속되는 경우
- 연골 손상이 진행된 것으로 판단되는 경우
Q2. 관절경과 일반 절개 수술은 어떤 차이가 있나요?
관절경 수술은 1CM 미만의 최소절개로 관절 내부를 직접 확인하며 치료하는 방식으로 개방형 절개 수술에 비해 주변 조직 손상이 적고 회복 속도가 빠른 편입니다.
울산 에스동물병원 외과 수의사가 알려주는 FMCP 진단 및 치료 과정 정리
FMCP 진단은 신체검사, X-Ray(엑스레이), CT, 관절경까지 단계적으로 진행되며, 각 검사가 유기적으로 연결되어 정확한 병변 확인과 치료로 이어집니다.
| 단계 | 목적 |
| 신체검사 | 통증 위치 확인 |
| X-RAY | 초기 감별진단 목적, 뼈 이상 유무 확인 |
| CT 검사 | 정밀진단, 골편 확인 |
| 관절경 | 병변 직접 확인 및 제거 |
우리 강아지 절뚝거리는 증상! 특히 대형견이 갑자기 앞다리를 들고 걷거나 절뚝거린다면 FMCP와 같은 팔꿈치 관절 질환의 신호일 수 있습니다. 관절경 수술은 전용 장비와 숙련된 의료진이 갖춰진 병원에서 시행되며, 에스동물메디컬센터 울산점은 경상권 내 관절경 수술이 가능한 동물병원으로 정밀한 관절질환 치료를 시행하고 있습니다.
강아지 관절질환과 관련하여 문의사항 혹은 상담이 필요하시다면 카카오톡 채널 혹은 유선으로 편하게 연락 주세요.







