[종양 S.O.S] 시츄 강아지 폐종양 Grade2 수술 사례 – 울산 암 전문 에스 동물병원

​안녕하세요. 에스동물암센터와 협진 체계를 구축하여 강아지 고양이 종양의 정밀 진단부난이도 높은 종양 수술, 항암·방사선 치료까지 가능한 에스동물메디컬센터 울산점입니다.

​강아지가 갑자기 기침을 자주 하거나, 숨이 가빠 보이는 모습을 보인 적 있나요? 보통 단순한 감기나 심장질환으로 생각하기 쉽지만, 병원에서 ‘폐종양’으로 진단되는 경우도 있습니다. 오늘은 시츄 환자의 폐암 수술 사례를 통해 강아지 폐종양의 진단, 치료, 그리고 예후에 대해 자세히 알아보겠습니다.

✔️ 에스동물메디컬센터 종양 수술 연간 약 300건

​✔️수의 외과 전공, 종양 수술 경험이 풍부한 외과 의료진

​✔️ 종양내과, 영상의학과 전공 의료진과의 협진

​✔️마취 위험도가 높은 환자들도 안전한 마취가 가능하도록 (마취통증의학 전공 수의사)

강아지 폐종양이란?

​강아지 폐종양은 폐에서 발생하는 원발성 폐암(primary lung tumor) 혹은 다른 장기에서 전이된 전이성 종양(metastatic tumor) 을 말합니다. 대표적인 종양 종류는 다음과 같습니다.

✔️ 선암(Adenocarcinoma): 폐에서 가장 흔한 형태로, 주변 조직으로 침윤하며 자람

✔️ 편평상피암(Squamous Cell Carcinoma): 기도 내에서 발생하며 기침, 혈담을 동반

✔️ 전이성 종양(Metastatic tumor): 유선종양, 골육종 등에서 폐로 퍼지는 형태

강아지 폐종양의 주요 증상

​폐종양은 초기에 뚜렷한 증상이 없어 보호자가 놓치기 쉽습니다. 다음과 같은 변화가 보인다면 반드시 검진을 권장합니다.

기침, 헛기침(켁켁거림)

호흡곤란, 무기력, 식욕부진

구토나 물토 같은 비특이적 증상

이러한 증상만으로는 감별이 어렵기 때문에 정확한 진단을 위해 영상검사(방사선, CT)와 조직검사가 필수적입니다.

강아지 폐종양 실제 사례 – 10살 시츄 이야기

🐶 환자정보 🐶

품종: 시츄

나이: 10살, 중성화 수컷

증상 및 내원

타 동물병원에서 치과 치료 중 흉부 방사선에서

우연히 발견된 폐 종괴로 폐 종양 의심 소견 후

에스동물메디컬센터 울산점 내원

치과 치료를 받기 위해 병원에 방문했다가 우연히 흉부 방사선에서 폐종양으로 의심되는 종괴가 발견되어 에스동물메디컬센터 울산점으로 내원하셨습니다. 이후 에스 외과에서는 정확한 진단을 위해 보호자님과 상담 후 CT 촬영을 진행하였습니다.

강아지 폐종양 수술 과정을 이해하기 쉽게 설명드리기 위해​ 실제 수술 사진 일부가 포함되어 있습니다. 의료적·안내 목적이며, 자극적인 내용은 최소화했습니다.

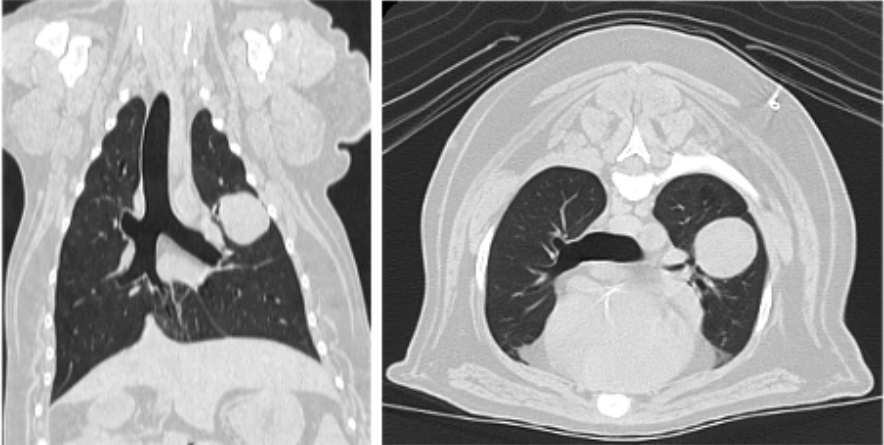
01 영상검사 소견

​정확한 진단을 위해 CT 촬영을 진행하였습니다.

울산 강아지 폐종양 수술 전 CT 결과 / 출처: 에스동물메디컬센터

📌

CT 촬영 결과

✔️ 좌측 폐 전엽에 약 2.6cm 크기의 불규칙한 종괴

✔️ 주변 기관지 일부가 눌려 협착 소견

✔️ 국소 무기폐(atelectasis) 가능성(폐가 정상적으로 펴져 있지 못하고 줄어든 상태)

✔️ 양측 폐 전엽 주변부에 고밀도 결절(노령 변화나 작은 골종 가능성)

✔️ 간과 피부에도 작은 결절 확인

​이러한 소견으로 폐암 가능성이 높아 좌측 전엽 절제술을 계획​했습니다.

⚠️ 영상학적 결과만으로 폐에 국한된 원발성 종양인지, 혹은 다른 장기에서 전이된 것인지 단정하기 어려워 수술적 절제 후 조직검사가 필수입니다.

02 강아지 폐종양 수술 및 회복과정

시츄 강아지 환자는 좌측 전엽 절제술(lobectomy)을 진행했습니다. 마취 중 특이사항은 없었으며, 수술 후에도 안정적으로 회복하였습니다. 퇴원 시에는 활력과 식욕이 회복된 상태로, 호흡 상태 역시 안정적이었습니다.

울산 강아지 폐종양 수술 / 출처: 에스동물메디컬센터

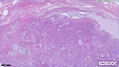
03 강아지 폐종양 조직검사 결과

수술 후 조직검사 결과 종양은 완전히 절제되었으며 전이 소견 없음으로 판정되었습니다.

울산 강아지 폐종양 수술 후 조직검사 / 출처: 에스동물메디컬센터

✔️ 종양 종류: 폐암(Pulmonary carcinoma)

✔️ 분화도: 중등도 분화 (Moderately differentiated)

✔️ 등급: Grade 2 (총점 10점)

✔️유사분열 수: 4/2.37mm² (낮은 편)

✔️ 혈관 침습: 없음

✔️ 절제연: 깨끗하게 제거(가장 가까운 절제연 3mm)

폐암 중증도 분화란?

​암세포가 정상 세포와 얼마나 유사한지 판단함에 있어 일부는 정상 폐세포와 유사하지만 일부는 암세로포 인해 비정상적인 구조도 함께 보이는 형태 * 환자는 에스동물메디컬센터에서 수술 후 본래 병원(1차 병원)에서 폐 종양 관리를 이어갔습니다 *

강아지 폐암 예후 연구 결과

미국 JAVMA 저널의 연구에 따르면 폐암은 등급(Grade)에 따라 예후가 크게 달라집니다.
McNiel EA et al. Evaluation of prognostic factors for dogs with primary lung tumors: 67 cases (1985–1992). JAVMA. 1997 (미국 JAVMA 저널)

등급중앙 생존기간(MST)무병기간(DFI)
Grade 1790일 (약 2.2년)493일 (약 1.3년)
Grade 2251일 (약 8개월)191일(약 6개월 반)
Grade 35일0일

환자의 경우 Grade 2로 판정되어 평균적으로 8개월 정도의 생존기간을 기대할 수 있으나, 이는 전이 여부, 종양 성장 속도, 환자의 체력에 따라 달라질 수 있습니다. 폐암은 폐 내 다발성 전이나 흉강 내 파종(transcoelomic spread) 이 발생할 수 있기 때문에, 정기적인 흉부 영상검사(방사선 또는 CT) 와 복부 초음파를 통해 다른 장기로의 재발 및 전이 여부를 추적 관찰하는 것이 권장됩니다.

* 흉강 내 파종(transcoelomic spread): 암세포가 흉강 내부에 퍼지면서 여러부위에 종양이 새롭게 발생 *

​필요에 따라 방사선 치료나 항암치료를 병행할 수 있으며,이는 수술 후 남아 있을 수 있는 미세 종양세포를 제어하고예후를 안정화하는 데 중요한 역할을 합니다.

▶에스동물암센터 강아지 폐종양 항암치료◀

FAQ로 알아보는 강아지 폐암 수술

Q1. 강아지 폐암 수술 후 항암 치료는 필수일까요?

👉 조직검사 결과, 수술 결과에 따라 다를 수 있습니다.

수술을 통해 권장되는 절제연을 따라 종양이 충분히 제거 되었고, 저등급 (Grade 1) 으로 판단되었다면, 항암치료 없이 지켜볼 수 있습니다. 하지만 중등급 (Grade 2) 이상부터는 경우에 따라 항암 치료를 진행하는 것이 재발 방지에 도움이 될 수 있습니다. 자세한 계획은 의료진과 상담 후 진행하는 것이 좋습니다.

Q2. 폐를 절제하고 나면 숨쉬기 힘들어지지 않나요?

👉 폐는 여러개의 옆으로 구성되어 있습니다. 종양이 국한된 한개의 옆을 절제하는 폐엽 절제술수술 후 호흡에 큰 지장을 주지 않습니다. 수술 직후에는 일시적으로 힘들어할 수 있지만, 남아있는 다른 폐엽들이 기능을 보상하게 됩니다.

폐종양 진단은 보호자분들께 매우 갑작스럽고 충격적인 결과일 수 있습니다. 하지만 조기 발견과 빠른 수술적 개입, 그리고 이후의 체계적인 추적관리는 아이의 생존기간과 삶의 질을 결정짓는 가장 중요한 요소입니다. 울산 에스동물메디컬센터는 에스동물암센터는 종양외과·종양내과·영상의학과 분과별 전공 수의사들이 협진 체계를 구축하여, 종양 수술과 방사선 치료를 비롯한 환자별 맞춤치료를 제공하고자 노력합니다.

첫 수술부터 회복의 끝까지, 에스동물메디컬센터가 환자와 보호자의 곁에 함께하겠습니다.