[종양 S.O.S] 강아지 비장종양, 보호자가 알면 도움이 되는 진단, 수술, 치료 후기 – 울산 에스동물병원

안녕하세요. 울산 경주 포항 부산 암 전문 동물병원, 에스동물암센터와 협진 체계로 종양 방사선치료가 가능한 에스동물메디컬센터 울산점입니다.

​강아지에서 건강검진이나 영상검사를 하다가 비장에 혹(결절)이 흔하게 발견되는데요. 비장은 잘 알려지지 않은 장기이지만, 혈액을 저장하고 면역을 담당하는 중요한 역할을 합니다. 이번 글에서는 비장 종양이 어떤 질환인지, 어떻게 진단하는지, 양성종양이냐 악성종양이냐에 따라 치료가 다른지, 그리고 실제 수술 및 조직검사 사례를 통해 확인된 결과까지 차근차근 살펴보겠습니다.

해당 케이스는 수술케이스로 불편함을 유발할 수 있는 사진이 포함되어 있습니다.

비장이란 어떤 장기일까?

​비장은 강아지의 복강 왼쪽에 위치한 장기로, 여러 가지 중요한 역할을 합니다.

  • 혈액 저장소: 필요할 때 혈액을 방출해 혈액량을 조절합니다.
  • 면역 기능: 몸속으로 들어온 세균이나 이물질을 걸러내고, 면역세포가 활성화되는 장소입니다.
  • 노화된 적혈구 제거: 수명이 다한 적혈구를 분해하고 새로운 혈액세포가 원활히 생성되도록 돕습니다.

강아지 비장종양 양성종양 vs 악성종양

​비장에 발생하는 혹(결절)은 크게 양성(비암성)과 악성(암성)으로 나눌 수 있습니다.

■ 양성 종양 (비암성)

​✔️ 대표적으로 복합 결절성 과형성이나 혈종이 있습니다.

✔️ 주로 중년 이상의 강아지에서 흔히 발견됩니다.

✔️ 전체 비장 종괴 중 약 25~50%를 차지할 정도로 흔한 병변입니다.

⚠️

암은 아니지만 종괴가 커지면 내부 출혈을 일으키거나 비장 파열로 이어질 수 있어 주의가 필요합니다.

■ 악성 종양 (암성)

✔️ 대표적으로 혈관육종(hemangiosarcoma), 림프종 등이 있습니다.

✔️ 빠르게 성장하며 주변 장기나 혈관으로 전이될 가능성이 큽니다.

✔️ 치료가 늦어지면 복강 내 출혈(hemoabdomen), 빈혈, 다른 장기 전이로 생명을 위협할 수 있습니다.

⚠️

중요한 점은 초음파나 CT 영상만으로 양성과 악성을 명확히 구분할 수 없다는 것입니다. 따라서 종괴가 발견되면 정확한 진단이 필수적입니다.

강아지 비장종양 증상

비장 종양은 조용히 진행되는 경우가 많아 초기에는 특별한 증상이 거의 없을 수 있습니다. 하지만 종괴가 커지거나 파열될 경우 다음과 같은 증상이 나타날 수 있습니다.

  • 무기력 및 활동량 감소
  • 식욕 부진과 체중 감소
  • 복부 팽만
  • 잦은 호흡, 호흡 곤란
  • 잇몸 창백
  • 급성 붕괴(실신, 쇼크)

강아지 비장 종양 확실하게 진단하려면?

비장 혹(결절)은 보통 초음파 검사나 CT 촬영을 통해 처음 발견됩니다. 비장 혹(결절)이 양성인지 악성인지 구분하기 위해서는 세침검사 혹은 조직검사가 필요합니다. 하지만, 세침흡인검사(FNA)는 내부가 출혈성일 경우 진단 정확도가 낮습니다.

​출혈로 인해 세포가 잘 채취되지 않거나, 채취된 세포만으로는 종양의 특성을 파악하기 어려운 경우가 많습니다. 그래서 대부분의 경우 비장 적출 수술 후조직검사(histopathology)를 통해 최종 확진이 이뤄집니다.

비장 종양, 꼭 수술해야 할까?

많은 보호자님들이 “양성이라면 수술을 하지 않아도 되지 않을까?” 하고 질문하십니다.

⚠️

하지만 비장의 종괴는 크기가 커지면서 혈종 형성 → 파열 → 복강 내 출혈로 이어질 위험이 있습니다. 파열 시에는 급성 빈혈과 쇼크가 발생할 수 있어 생명을 위협하게 됩니다. 따라서 양성 종양일지라도 크기가 있는 경우 수술이 권장됩니다. 반대로 악성 종양 경우에는 수술 후 항암 치료 여부를 추가적으로 논의해야 합니다.

비장종양 실제 수술 및 치료 이야기

🐶 환자 정보 🐶

​타원 건강검진 상 비장종양 의심되는 복강 내 종괴 발견

환자는 타원 건강검진에서 비장종양으로 의심되는 종괴가 발견되어 치료 차 본원 에스동물메디컬센터에 내원하였습니다.

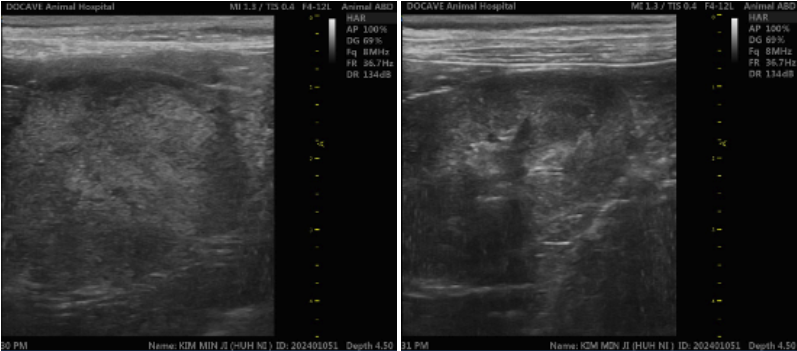
타원 강아지 비장 종양 의심 초음파 결과

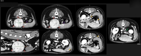
01 비장종양 진단 – CT 검사

정확한 진단을 위해 본원에서 CT 검사를 진행하였습니다.

강아지 비장종양 CT 검사 결과 / 출처: 에스동물메디컬센터

강아지 비장종양 CT 검사 결과 / 출처: 에스동물메디컬센터

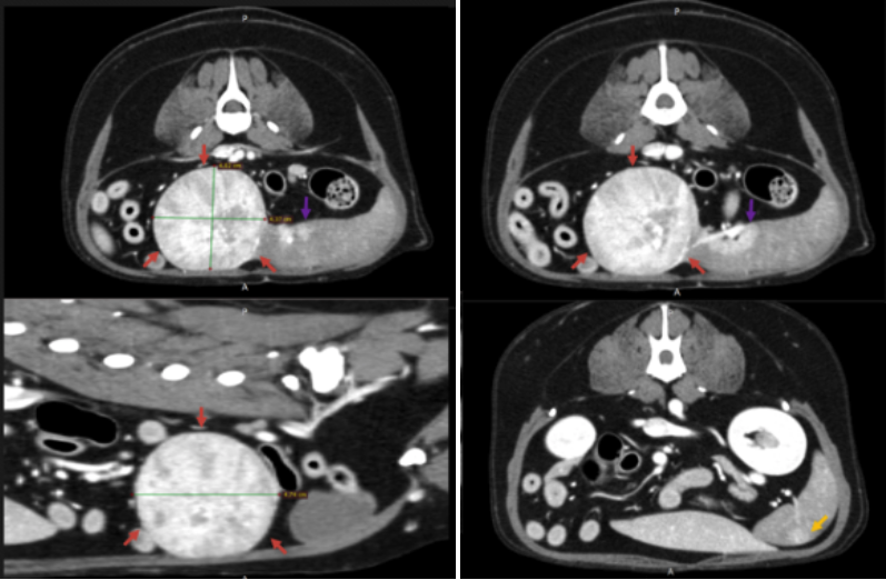
📌

CT 주요 소견

비장 꼬리 부분에서 4.4 x 4.0 x 3.5cm 크기

둥글고 경계가 뚜렷한 종괴 확인

내부는 이질적이며 조영제에 뚜렷하게 반응

이 혹은 비장종양, 조혈기능 과다, 림프조직 증식 등 가능성

​주변 비장 조직에도 작은 병변 등이 관찰되어 조직검사 권장

​인근 림프절이 약간 커져 있었으나(3.8mm),

염증 반응인지 전이 가능성인지는 불분명

02 강아지 비장 종양 수술

본 강아지 환자는 보호자님과 상의 끝에 수술을 하기로 결정하였습니다. 비장 절제술을 진행한 후, 정확한 암 형태를 파악하기 위하여 조직검사를 진행하였습니다.

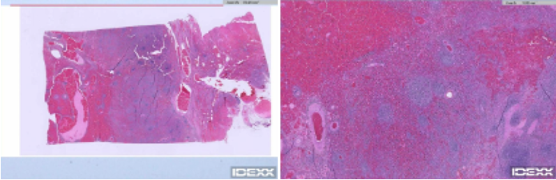
03 조직검사 결과

강아지 비장종양 조직검사 결과, 비장종양의 혹(결절)은 혈종으로 확인되었습니다.

✔️ 복합 결절성과형성(Nodular Hyperplasia) 부위에 발생

✔️다양한 면역세포(성숙 림프구, 형질세포, 조혈세포)와 작은 림프소포가 다수 분포

✔️ 주변 비장 조직에는 암성 변화 없는 양성종양 진단

​강아지 비장종양 조직 검사 결과 / 출처: 에스동물메디컬센터

​환자는 최종적으로 양성종양으로 확인되었으며, 이후 7일간 염증 수치 개선을 위한 입원치료를 받은 뒤 안정적으로 회복하여 퇴원하였습니다.

강아지 비장 결절 복합 결절성 과형성이란?

복합 결절성 과형성(Nodular Hyperplasia)은 중년 이상의 강아지에서 매우 흔히 발견되는 비장 병변입니다. 전체 비장 종괴 중 약 25~50%를 차지할 정도로 높은 비율을 보이며, 대부분은 우연히 건강검진이나 초음파 검사 중 발견됩니다. 이 병변은 양성(비암성)으로 분류되며, 암처럼 다른 장기로 전이되지 않습니다.

⚠️

하지만 종괴가 커지거나 혈류를 방해할 경우 내부에 혈종(출혈)이 생길 수 있고, 드물게는 결절이 터지면서 복강 내 출혈(hemoabdomen)로 이어질 수 있습니다. 이러한 상황은 갑작스러운 쇼크나 급성 빈혈을 유발할 수 있기 때문에 조기 발견과 관리가 필요합니다.

비장 양성 종양 예후는 어떻게 될까요?

복합 결절성 과형성과 혈종은 모두 양성 병변으로, 비장 절제 수술 후에는 특별한 항암 치료나 추가적인 약물치료 없이 회복이 가능합니다.

✔️ 대부분의 경우 수술 후 일상생활로 빠르게 복귀할 수 있습니다.

✔️ 비장은 제거해도 다른 장기가 어느 정도 기능을 보완하기 때문에 큰 문제 없이 생활할 수 있습니다.

✔️ 단, 드물게 다른 장기에도 유사한 양성 결절이 동반될 수 있어 정기적인 검진을 통해 추적 관찰하는 것이 좋습니다.

FAQ로 알아보는 강아지 비장종양 수술

Q1. 비장을 제거해도 건강에 문제가 없나요?

⭕, 네 괜찮습니다. 비장은 중요한 역할을 하지만, 수술로 제거한 후에도 다른 장기가 일부 기능을 보완해줄 수 있어 대체로 문제 없이 건강 회복이 가능합니다.

Q2. 강아지 비장종양 수술 후 항암치료도 필요한가요?

양성인 경우에는 수술만으로 충분합니다. 하지만 악성종양으로 진단되면 항암치료와 같은 추가 치료 계획을 수의사와 상담하여 결정합니다.

​비장종양이라 할지라도 아이들마다 신체조건, 암의 종류, 진행정도가 모두 다릅니다. 울산 에스동물메디컬센터는 에스동물암센터와 협진 체계를 구축하여, 종양 수술과 방사선 치료를 비롯한 환자별 맞춤치료를 추구합니다. 보다 전문적이고 종합적인 치료가 필요한 경우에도 믿고 맡기실 수 있습니다. 비장 종양에 대해 궁금하신 점이 있거나 진료가 필요하신 경우, 내원 예약 또는 전화 문의 부탁드립니다.

이상 울산 경주 포항 부산 강아지 종양 수술 전문 병원 에스동물메디컬센터 였습니다.

울산 에스동물병원 종양 S.O.S 글 확인하기
[종양 S.O.S] 심장병 강아지 악성 질 종양 평활근육종 종양 수술 후기 by 에스동물메디컬센터 울산점
[종양 S.O.S] 8살 포메라니안 강아지 악성 유선종양 Grade1 저등급 수술 사례

▶️ 울산 에스동물병원 종양 S.O.S 프로젝트 보러가기