안녕하세요 부산·양산·울산·포항·경주 경상지역 유일 강아지 고양이 종양 방사선 치료가 가능한 에스동물암센터입니다.
강아지 구강암은 발견이 어렵고, 치과 치료 시 우연히 발견하게 되는 경우가 많은데요. 오늘은 고령의 강아지에서 자주 발생하는 구강 내 종양! 구강 흑색종 (Oral Malignant Melanoma) 진단 후 에스동물암센터에서 방사선치료를 진행한 후기를 소개하도록 하겠습니다.
강아지 구강암, 구강 흑색종이란?
강아지 구강암, 그중에서도 구강 흑색종은 구강 내에서 가장 흔하게 발생하는 악성 종양 중 하나입니다.
✔️구강암에서 흑색종 차지하는 비율 30~40%
(출처: Pérez-Santana et al., 2024)
일반적으로 고령의 강아지에서 자주 발생하며, 특정 품종(코카스파니엘, 푸들 등)과 관련된 유전적 소인이 제기되기도 하였습니다. 이 종양은 성장 속도가 매우 빠르고, 뼈를 녹이거나 주변 림프절 및 폐 등 다른 장기로 쉽게 전이되는 공격적인 성향을 가지고 있어, 치료가 진행되지 않으면 중앙 생존기간이 약 65일에 불과할 정도로 예후가 나쁜 암입니다. 일부 악성도가 낮거나, 조직학적으로 양호한 특성을 가진 하위그룹 (HWDMN)으로 구분되는 경우에는 중앙생존기간이 1020일로 보고되기도 합니다.

강아지 구강 흑색종 예시 사진 / 출처: https://todaysveterinarypractice.com/
A pigmented oral malignant melanoma on the left rostral maxillary gingiva of a dog.
검은색이 아니어도 흑색종? 더 위험한 무색소성 흑색종
보통’흑색종’이라고 하면 검은색 멜라닌 색소를 가진 종양을 말합니다. 하지만 일부 흑색종은 멜라닌 색소가 없어 분홍색이나 붉은색으로 보이는 ‘무색소성(amelanotic)’ 형태로 나타납니다. 이는 육안으로 다른 염증성 병변이나 양성 종양과 구별하기 어려워 진단을 늦추는 원인이 되기도 하며, 일반적으로 색소가 있는 흑색종보다 더욱 공격적이고 예후가 불량한 것으로 알려져 있어 주의가 필요합니다.
구강 흑색종, 진단과 예후 (WHO 병기와 MI 지수)
정확한 진단과 치료를 위해 조직 검사가 필수입니다. 조직 검사를 통해 구강 흑색종을 확진하고, 암세포의 악성도 단계를 평가합니다. 악성도는 세계보건기구(WHO)의 병기 분류 체계를 사용하여 종양의 크기와 림프절 전이 여부에 따라 1기에서 4기로 병기를 나눕니다. 또한 세포가 얼마나 빠르게 분열하는지를 나타내는 ‘세포분열지수(Mitotic Index, MI)‘ 역시 중요한 예후 인자입니다.
이 외에도 핵 비정형, 색소침착 정도, Ki67 지수가 예후 인자로 작용할 수 있습니다. 이러한 지표들을 종합하여 치료 계획을 수립하고, 예후를 예측합니다.
| 항목 | 1기 (Stage I) | 2기 (Stage II) | 3기 (Stage III) | 4기 (Stage IV) |
| 원발 종양 크기 | T1 (지름 ≤ 2cm) | T2 (지름 2–4cm) | T2 또는 T3 (지름 > 4cm) | 모든 T (크기 무관) |
| 국소 림프절 | N0 (림프절 전이 없음) | N0 | N1 (국소 림프절 전이 있음) 또는 N0 | 모든 N (N2: 고정된 림프절 포함) |
| 원격 전이 | M0 (원격 전이 없음) | M0 | M0 | M1 (원격 전이 있음) |
구강흑색종 치료 방법은?
구강흑색종 암은 악성도가 높아 초기 진단 및 선제적 수술, 방사선/항암/면역치료 등 보조치료 병행이 중요합니다. 수술이 가장 효과적인 1차 치료 방법이지만, 방사선 치료 역시 국소 재발방지를 위해 중요합니다. 화학요법 단독은 생존기간 연장에 효과적이지 않다고 알려졌으며, 전기화학요법(ECT)은 수술이 어려운 경우 잠재적 대안으로 고려 가능합니다.
📌
구강흑색종 치료
가장 효과적인 치료 방법은 광범위한 절제 (수술)
보조요법으로 방사선치료 또는 항암화학요법 병행
노령견에서는 전신 상태와 예후를 고려해 분할 방사선치료(PRT) 적용
최근에는 면역치료 및 유전자 백신의 병용 가능성도 논의
부산에서 온 16살 노령견, 무색소성 흑색종 진단부터 치료까지
16세 몰티즈 강아지 환자는 입안에 생긴 종괴로 지역 병원에서 2달간 치료를 받았으나 차도가 없었습니다. 그러던 중 치아관리를 위해 부산 치과 동물병원에 내원하였고, 치아관리와 함께 종괴를 절제하여 조직검사를 의뢰 후 ‘무색소성 흑색종’을 진단받았습니다.
환자 정보
몰티즈(Maltese)
중성화 암컷
16세
3.2kg

구강흑색종 조직검사 결과 / 출처: 에스동물암센터
무색소성 흑색종 진단 후 암센터 내원
무색소성 흑색종 진단 이후 지역 동물병원에서 아이의 나이를 고려하여 방사선 치료를 추천받아 에스동물암센터로 내원해 주셨습니다.
조직검사 결과
- 세포분열지수 MI>30/10HPF
- 수술 범위: 불완전 절제
- 중등도 이상의 대소부동증
📌 세포분열지수도 높고, 불완전 절제가 된 상황이라 전반적으로 악성도가 높은 흑색종에 추후 재발 가능성도 높다고 판단되었습니다.

구강흑색종 조직검사 전/후 사진 / 출처: 에스동물암센터
무색소성 흑색종 진단 후 방사선 치료 결정
위에서 언급된 바와 같이 구강 흑색종의 가장 좋은 치료 방법은 광범위한 수술적 절제입니다.
이러한 경우 턱뼈의 일부를 잘라내는 광범위한 수술이 권장되지만,
✔️ 아이가 16세 고령이라는 점
✔️수술 후 삶의 질을 고려한 점
위의 사항을 고려하여 보호자와 상담 후 방사선 치료를 진행하기로 결정하였습니다.
방사선 치료 과정과 결과
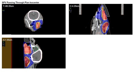
1. 방사선 치료를 위한 모의 CT 촬영
방사선 치료를 위해서는 체계적인 계획이 필요합니다. 이를 위해 먼저 모의 CT 촬영을 진행하여 종양의 크기, 위치를 정확히 파악하고 다른 장기로의 전이가 없는지 확인하였습니다.
✔️ 폐 혹은 림프절로의 전이는 보이지 않았음

2. 방사선 치료 방법 결정
종양의 완전한 국소 제어를 위해서는 20회에 가까운 근치적 치료법도 고려되었으나, 본 강아지 환자의 경우 완치를 목표로 하는 치료보다 노령견의 마취 부담을 줄이고 삶의 질 유지에 초점을 맞춘 완화적 분할 방사선 치료(PRT)를 적용하기로 하였습니다.
✔️ 분할 방사선치료 결정(PRT)
✔️4주에 걸쳐 총 4회의 고선량 방사선 조사
방사선 치료 과정에서의 부작용
방사선 치료는 주변 정상 조직에도 영향을 주어 부작용이 발생할 수 있습니다.
본 강아지 환자의 경우 치료 기간 동안
✔️ 구취 증가
✔️ 가벼운 구내염
✔️ 방사선 조사 부위 안면부 탈모 등
위와 같은 부작용이 일시적으로 발생하였지만, 다행히 치료 이후 회복하는 모습을 보였습니다.
방사선 치료 후 결과 (4주 후)
치료 종료 후 4주 차에 종양 부위 리첵을 위해 CT 촬영을 진행하였으며, 다행히 재발이나 전이는 관찰되지 않았습니다. 또한 종양의 크기는 6mm에서 4.3mm로 감소하였습니다.

강아지 구강흑색종 (무색소성) 방사선치료 후 사진 / 에스동물암센터

강아지 구강흑색종 (무색소성) 방사선치료 후 Recheck CT 결과 / 에스동물암센터
고령의 소형견에서 발생한 무색소성 구강 흑색종 수술 후 분할 방사선 치료를 통해 삶의 질을 유지하며 안정적인 일상을 유지하고 있습니다. 이처럼 고령, 고위험 병리소견을 가진 환자이더라도 방사선치료를 통해 완화적 목적의 효과적 관리가 가능합니다.
강아지 고양이 암 진단부터 수술, 항암/방사선 치료와 관련하여 문의가 있으시면 카카오톡 채널 혹은 홈페이지 문의 부탁드립니다.







